PathoPic – image database / PathoPic ID 3057 - Peutz Jegher Polyp

de
Diagnose
Peutz Jegher Polyp
Diagnose Gruppe
benigner Tumor
Topographie
Jejunum
Topographie Gruppe
Darm, Anus
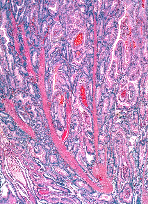
Beschreibung
Der hamartomatöse Polyp besteht aus arborisierenden Strängen glatter Muskulatur bedeckt von Lamina propria und einem enterischen Epithel bestehend aus absorptiven Zellen, Becherzellen und Paneth Zellen.
Zusatzbefund
Breitbasiger Polyp von 3cm Durchmesser.
Klinik
Eisenmangelanämie und wiederholte Abdominalschmerzen infolge von Intussusception.
Kommentar
Epithelverlagerungen in die Submukosa und Muscularis propria kommen nur in Dünndarmpolypen vor.
Bilder Typ
Histologie
Vergrösserung
25
Alter
7
Geschlecht
unbekannt
Datum
Ersteintrag: 21.03.2002