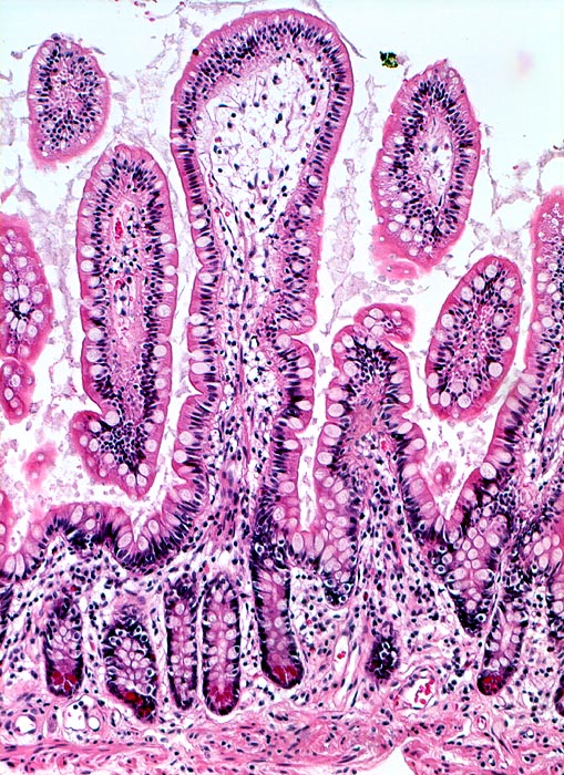
PathoPic – image database / PathoPic ID 4066 - normale Dünndarmschleimhaut

de
Diagnose
normale Dünndarmschleimhaut
Diagnose Gruppe
Normalbefund
Topographie
Ileum
Topographie Gruppe
Darm, Anus
Beschreibung
Im Wechsel angeordnete schlanke fingerförmige Zotten (mit resorptiven Zellen und schleimbildenden Becherzellen) und basal gelegene Krypten mit der zellreicheren Proliferationszone und roten Paneth'schen Körnerzellen. Ganz unten im Bild die dünne Lamina muscularis mucosae.
Bilder Typ
Histologie
Vergrösserung
100
Alter
34
Geschlecht
unbekannt
Datum
Ersteintrag: 02.10.2002