AP/ Gichttophus

Diagnose
Gichttophus
Diagnose Gruppe
Systemerkrankung/Immunpathologie
Differenzialdiagnose
  • - Pseudogicht - Fremdkörpergranulom
Topographie Gruppe
Haut
Topographie
Haut
Einleitung
Aetiologie:
Gicht und Pseudogicht sind die beiden häufigsten kristallinduzierten Arthropathien. Die Gicht wird durch Natriumuratkristalle verursacht, die Pseudogicht durch Kalziumpyrophosphatkristalle. Man unterscheidet eine primäre und eine sekundäre Gicht. Die Ätiologie der primären genetisch determinierten Hyperurikämie ist unbekannt. Eine sekundäre Gicht/Hyperurikämie entsteht durch vermehrte Harnsäureproduktion aus exogenen oder endogenen Purinen (z.B. erhöhter Zellzerfall bei hämatologischen Erkrankungen, Chemo- oder Strahlentherapie, Gewichtsreduktion oder Medikamentennebenwirkung) oder eine Störung der renalen Ausscheidung (chronische Nephropathien, Medikamente...).

Lokalisation:
Bei einer Gicht sind kristallin ausgefällte Natriumuratkristalle in den neutrophilen Granulozyten des Gelenkergusses und kalkweisse Auflagerungen am Gelenkknorpel nachweisbar. Kristallablagerungen in Form von Gichttophi mit einer granulomatösen Fremdkörperreaktion finden sich ausserhalb von Gelenken auch in Sehnenscheiden (Achillessehne), Weichteilen (Ohrläppchen, Ellenbogen, Knie), in der Achillessehne oder im Nierenparenchym. Die Löslichkeit von Harnsäure nimmt mit der Umgebungstemperatur ab, sodass die Kristallablagerungen vorwiegend peripher vorkommen. Am häufigsten betroffen ist das Grosszehengrundgelenk (Podagra), gefolgt von Sprunggelenk, Ellenbogengelenk, Kniegelenk und anderen Gelenken an Fuss und Hand.

Morphologie:
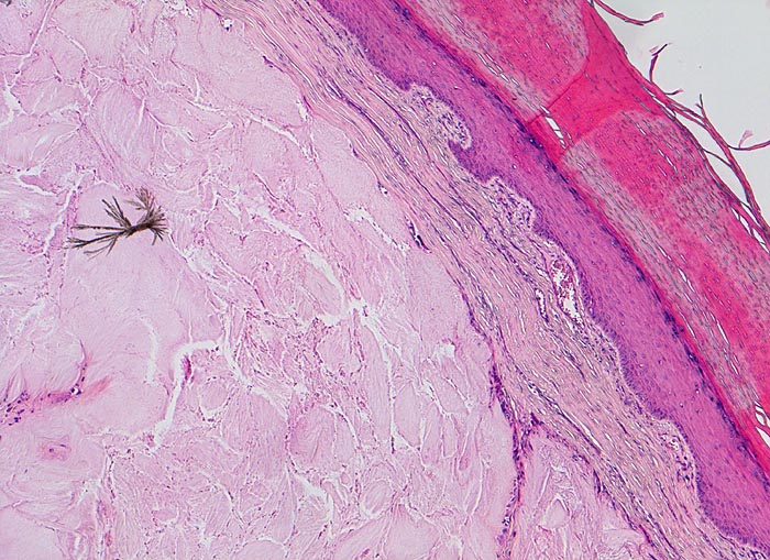
Die nadelförmigen und zu Büscheln angeordneten Natriumuratkristalle zeigen im polarisierten Licht eine starke Doppelbrechung, sind aber wasserlöslich und daher in den üblichen histologischen Schnitten nach Formalinfixierung nicht oder allenfalls noch residuell nachweisbar. Die ebenfalls doppelbrechenden, nicht wasserlöslichen Kalziumpyrophosphatkristalle der Pseudogicht sind kürzer und oft rhomboid geformt.

Anmerkung:
Bei Verdacht auf Gichttophus darf das Gewebe wegen der Löslichkeit der Kristalle nicht in wässrigen Fixationsmitteln (Formaldehyd) fixiert werden. Für den Nachweis muss absoluter Alkohol verwendet werden. Die Verdachtsdiagnose muss auf dem Anmeldeformular vermerkt werden, damit bei der Gewebsverarbeitung keine wässrigen Lösungen verwendet werden.

update 5.9.2018
Klinik
Vorkommen:
Etwa 2.7 von 1000 Erwachsenen leiden an Gicht. Gichtanfälle treten bevorzugt bei 30 bis 60 jährigen auf, wobei Männer neunmal häufiger betroffen sind.

Symptomatik:
Die Symptome entwickeln sich rasch über wenige Stunden und können Stunden bis Tage anhalten. Zwischen den einzelnen Episoden können Jahre liegen. Typischerweise treten die Schmerzen nachts nach einem Alkoholexzess und/oder einer proteinreichen Mahlzeit auf. Meist ist nur ein Gelenk betroffen. Dieses ist schmerzhaft, extrem druckempfindlich, überwärmt und gerötet. Fieber, Schüttelfrost und Müdigkeit können hinzukommen. Eine septische Arthritis oder eine Pseudogicht können sich sehr ähnlich präsentieren.

Diagnostik:
Der bioptische Nachweis eines Gichttophus (> 573) oder der Nachweis von typischen nadelförmigen Kristallen (> 1975) im Gelenkpunktat nach Ausschluss eines Erregers (Gramfärbung und Kultur der Gelenkflüssigkeit) erlauben die richtige Diagnose. Gichtpatienten mit einer Harnsäureexkretion von über 1100mg / 24 h entwickeln in der Hälfte der Fälle eine Urolithiasis (Harnsäure- und Oxalatsteine) (> 1979).

Therapie:
In der Anfallstherapie kommen Colchizin und Schmerzmittel zur Anwendung. Steroide werden verabreicht, wenn der Anfall schon mehr als 2 Tage besteht. Allopurinol wird zur Prophylaxe verschrieben. Die Patienten sollten ihren Alkoholkonsum (vor allem Bier) einschränken und eine purinarme Diät mit viel Früchten und Gemüse einhalten.

Komplikationen:
Mögliche Komplikationen einer Gicht sind Arthrose, sekundäre Infektionen, Harnsäurenephropathie (> 1977) und selten ein Karpaltunnelsyndrom.

update 5.9.2018
Normalbefund
Morphologie
Morphologische Merkmale:
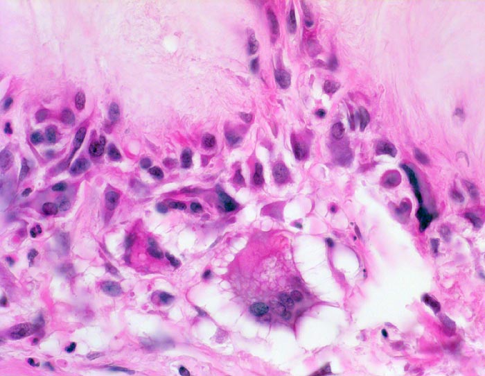
  • Kollagenes Bindegewebe mit Tophus bestehend aus wolkiger eosinophiler Matrix mit herdförmig erkennbaren nadelförmigen Strukturen (Uratkristalle).
  • Die Ablagerungen sind umgeben von mehrkernigen Fremdkörperriesenzellen, Makrophagen und wenigen neutrophilen Granulozyten.
Praxis-Tipp:
  • Gewebe bei Verdacht auf Gicht in 100% Alkohol fixieren und Verdachtsdiagnose auf dem Anmeldezettel vermerken.
Makroskopie
Virtuelles Präparat
Befund
Pathologischer Befund
Normalbefund
Datum
Ersteintrag: 10.07.2019
Update: 10.07.2019