Pathopic
HiPaKu
ZyPaKu
PathoBasic
PathoBasic Cytology
Quizzes
Projektinfos
PathoPic - Projekt- und Copyright-Info
About
Pathopic
HiPaKu
ZyPaKu
PathoBasic
PathoBasic Cytology
Quizzes
PathoPic – image database
/
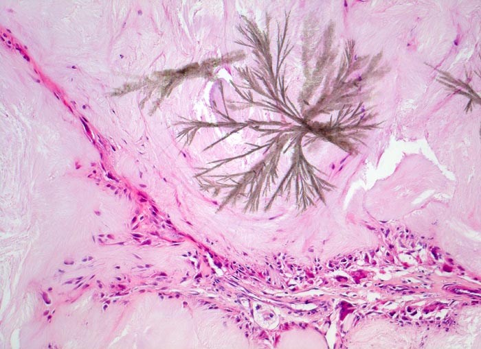
PathoPic ID 5120 - Gichttophus
de
Diagnose
Gichttophus
Diagnose Gruppe
Systemerkrankung/Immunpathologie
Topographie
Haut
Topographie Gruppe
Haut
Beschreibung
Die Harnsäurekristallablagerungen werden von schmalen bindegewebigen
Septen mit Histiozyten und Riesenzellen durchzogen.
Klinik
Rezidivierend geschwollenes und gerötetes Grosszehengrundgelenk. Schmerzattacken, teils abhängig von Nahrungs- und Getränkeeinnahme.
Bilder Typ
Histologie
Vergrösserung
100
Alter
46
Geschlecht
männlich
Datum
Ersteintrag: 06.10.2002
Update: 01.08.2003
CPS
·
©
2024 Institut für Pathologie Basel
/
Dr. med. Katharina Glatz-Krieger
.
·
v2.1