PathoPic – image database / PathoPic ID 573 - Gicht: Arthritis urica

de
Diagnose
Gicht: Arthritis urica
Diagnose Gruppe
Entzündung / Reparatur
Topographie
Gelenk, untere Extremität
Topographie Gruppe
Knochen, Knorpel, Gelenke
Beschreibung
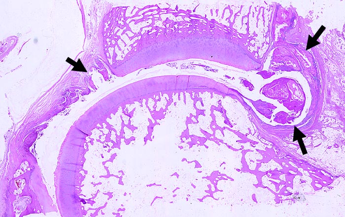
Zehengrundgelenk: Erhaltener Gelenkknorpel. Ablagerungen von Uratkristallen in der Synovialis.
Klinik
Akute Gonarthritis urica. Diabetes mellitus Typ II. Aethylabusus.
Bilder Typ
Histologie
Vergrösserung
Scan
Alter
77
Geschlecht
männlich
Datum
Ersteintrag: 14.11.2001
Update: 25.12.2007