AP/ Fettleber

Diagnose
Fettleber
Diagnose Gruppe
Therapiefolgen
Differenzialdiagnose
  • Nicht alkoholische Fettleber (NAFLD)
  • alkoholische Fettleber
Topographie Gruppe
Leber, Gallenwege, Pankreas
Topographie
Leber
Einleitung
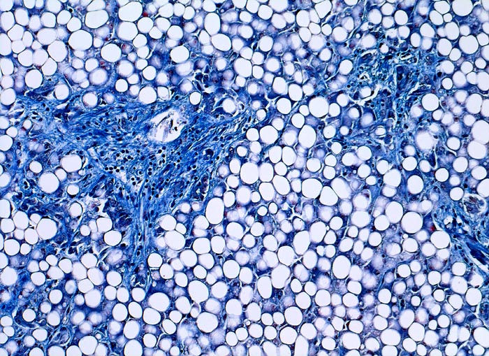
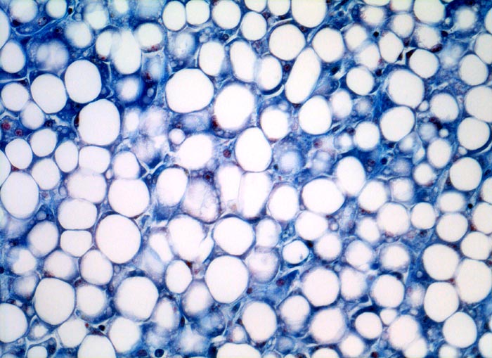
Die Hepatozyten enthalten Triglyceride und andere Lipide. Wenn mehr als die Hälfte der Hepatozyten verfettet sind, spricht man von einer Fettleber. Wenn die Vakuolen so gross sind, dass sie den Zellkern zur Seite drängen, spricht man von makrovesikulärer oder grobtropfiger Verfettung. Sind die Vakuolen klein und der Kern in seiner normalen Position wird eine feintropfige oder mikrovesikuläre Verfettung diagnostiziert. Rein feintropfige Verfettungen können unter Umständen nur mit einer Fettfärbung sichtbar gemacht werden. Die Verfettung kann diffus, zonal oder fokal sein. Am häufigsten sind eine grobtropfige oder gemischttropfige Verfettung als Folge von Alkoholkonsum, chronischer Hepatitis C, Diabetes mellitus, Adipositas und/oder Medikamenteneinnahme.
Klinik
Risikofaktoren für eine Leberverfettung sind Adipositas, Lipidstoffwechselstörungen, Ethylabusus, Diabetes mellitus... 
Morphologie
-
Makroskopie
Virtuelles Präparat
Befund
Pathologischer Befund
Normalbefund
Literatur
Datum
Ersteintrag: 04.11.2018
Update: 13.09.2019