PathoPic – image database / PathoPic ID 3261 - grobtropfige Verfettung des Leberparenchyms

de
Diagnose
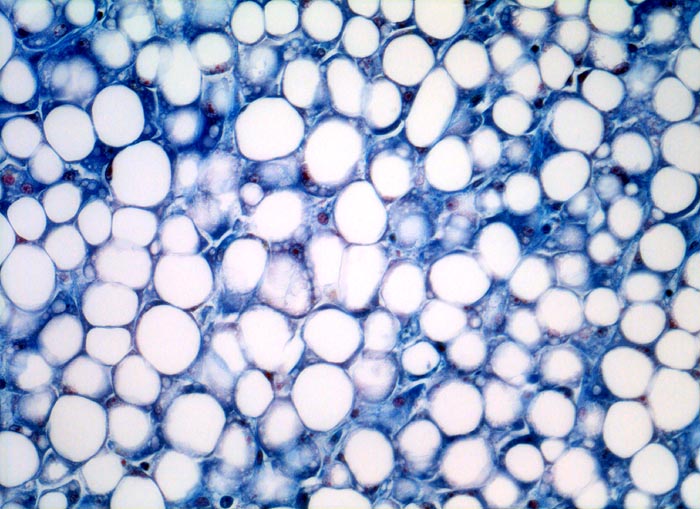
grobtropfige Verfettung des Leberparenchyms
Diagnose Gruppe
Therapiefolgen
Topographie
Leber
Topographie Gruppe
Leber, Gallenwege, Pankreas
Beschreibung
Praktisch alle Hepatozyten enthalten eine solitäre grosse optisch leere Lipidvakuole. Diese komprimiert den Zellkern und verdrängt ihn zur Seite. Ein Teil der Hepatozyten enthält zusätzlich mehrere kleinere Lipidvakuolen.
Zusatzbefund
Leber vergrössert und von gelber Farbe.
Klinik
Bekannter Alkoholabusus.
Kommentar
Bei der feintropfigen Verfettung enthalten die Hepatozyten multiple feine Lipidvakuolen. Der Kern wird dadurch aber nicht komprimiert und bleibt zentralständig. Eine feintropfige Verfettung kann beispielsweise nach einem Hitzschlag oder bei medikamentös toxischem Leberschaden beobachtet werden. Häufig kann auch eine Mischung von fein- und grobtropfiger Verfettung beobachtet werden.
Bilder Typ
Histologie
Vergrösserung
200
Alter
60
Geschlecht
unbekannt
Datum
Ersteintrag: 25.03.2002