PathoPic – image database / PathoPic ID 3124 - Normales Leberparenchym mit Portalfeld und Zentralvene

de
Diagnose
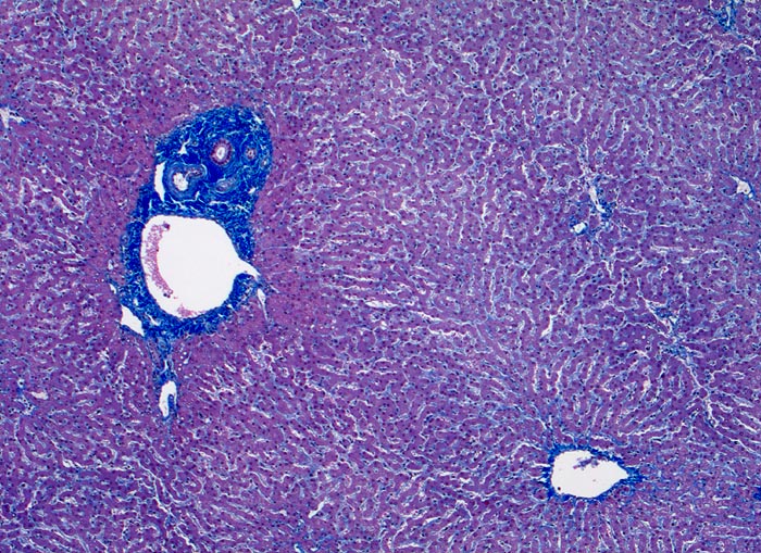
Normales Leberparenchym mit Portalfeld und Zentralvene
Diagnose Gruppe
Normalbefund
Topographie
Leber
Topographie Gruppe
Leber, Gallenwege, Pankreas
Beschreibung
Links im Bild ein Portalfeld mit Portalvenenast, Arterienast und Gallengang. Das Portalfeld zeigt eine minimale Fibrose. Keine Entzündugnsinfiltrate. Rechts unten im Bild ein Zentralvenenast. Das Parenchym zeigt keine Verfettung und keine Entzündungsinfiltrate. Die Sinusoide sind nicht dilatiert.
Bilder Typ
Histologie
Vergrösserung
50
Geschlecht
weiblich
Datum
Ersteintrag: 22.09.2002