AP/
Hämorrhagischer Lungeninfarkt
Diagnose
Hämorrhagischer Lungeninfarkt
Diagnose Gruppe
vaskulär / Durchblutungsstörung
Differenzialdiagnose
-
- Frische alveoläre Lungenparenchymblutung
Topographie Gruppe
Lunge, Mediastinum mit Thymus
Einleitung
Pathogenese:
Bei Patienten mit normaler kardiovaskulärer Funktion führen Lungenembolien wegen der Doppelversorgung des Lungenparenchyms über Pulmonalarterienäste und Bronchialarterienäste nicht zu einer Gewebsnekrose. Die Bronchialarterie vermag das Gewebe mit genug Sauerstoff zu versorgen. Einblutungen können unter diesen Umständen entstehen, aber keine Gewebsnekrosen. Nur etwa 10% der Lungenembolien verursachen Infarkte. Diese treten bei Patienten mit vorbestehenden Herz- oder Lungenerkrankungen auf. In diesen Fällen kann das Gewebe trotz doppelter Blutversorgung nicht mit genügend Sauerstoff versorgt werden. Aus diesem Grund sind Lungeninfarkte bei jungen Patienten selten. Lungeninfarkte können auch entstehen als Folge von gefässobstruierenden Tumorembolien, Gefässverschlüssen bei Vaskulitis oder Pilzinfektionen.
Lokalisation:
Drei Viertel der Lungeninfarkte sind in den Unterlappen lokalisiert. In der Hälfte der Fälle treten sie multipel auf.
Morphologie:
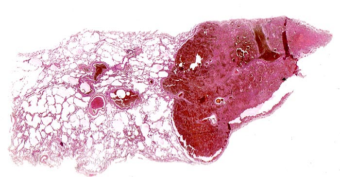
Makroskopisch bilden sie ein Dreieck mit der Basis an der Pleuraoberfläche, sind leicht erhaben, dunkelrot gefärbt und induriert. Innerhalb von 48 Stunden beginnen die Erythrozyten zu zerfallen und der Infarkt wird von aussen her narbig organisiert.
Klinik
Symptomatik:
Es bestehen die Symptome einer Lungenembolie.
Diagnostik:
Eine Verschattung im Thoraxröntgenbild wird erst mit einer Latenz von bis zu 4 Tagen sichtbar und wandelt sich innert 3 bis 5 Wochen in eine streifige Narbe um.
Prognose:
Die Prognose der Lungenembolie mit oder ohne begleitenden Lungeninfarkt ist abhängig vom Ausmaß der Obstruktion bzw. der Anzahl von Rezidiven und den eingetretenen Komplikationen.
Die Langzeitprognose ist besser, wenn nach der Akutphase keine pulmonale Hypertension aufgetreten ist. Besonders wichtig für die Langzeitprognose nach Lungenembolien ist die Rezidivprophylaxe (Rezidivneigung 30-50%).
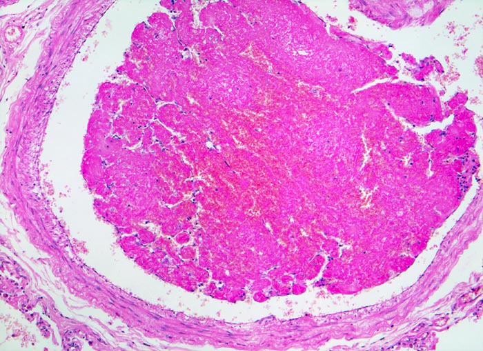
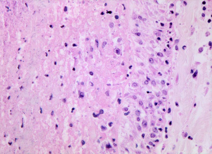
Morphologie
Morphologische Merkmale:
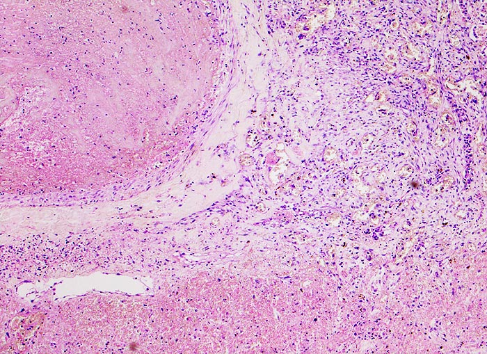
- Scharf begrenzte dreiecksförmige hämorrhagische Nekrose des Lungenparenchyms.
- Alveolen gefüllt mit zerfallenden Erythrozyten, Kerntrümmern und Fibrin.
- Lungengerüst erhalten im Randbereich der Nekrose, nicht mehr erkennbar im Zentrum.
- Abgeblasste Zellkerne in der Nekrosezone.
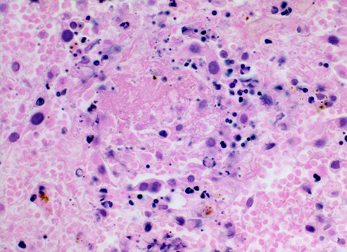
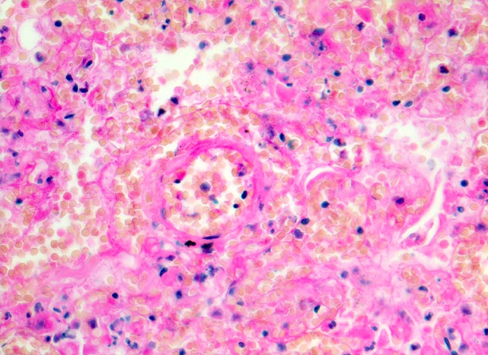
- Pulmonalarterienast mit nicht wandhaftendem Thrombembolus am Rand des Infarktes.
- Frischblut im Lumen des begleitenden Bronchiolus.
- Pulmonalarterienast mit Strickleiter.
Das sollte der Kliniker dem Pathologen mitteilen:
- Bekannte Thrombose oder Thromboseneigung.
- Symptome einer Lungenembolie.
- Vorbestehende Herz- oder Lungenerkrankung.
Befund
Pathologischer Befund
Normalbefund
Datum
Ersteintrag: 10.07.2019
Update: 10.07.2019