PathoPic – image database / PathoPic ID 3562 - hämorrhagischer Lungeninfarkt bei Lungenembolie

de
Diagnose
hämorrhagischer Lungeninfarkt bei Lungenembolie
Diagnose Gruppe
vaskulär / Durchblutungsstörung
Topographie
Lunge
Topographie Gruppe
Lunge, Mediastinum mit Thymus
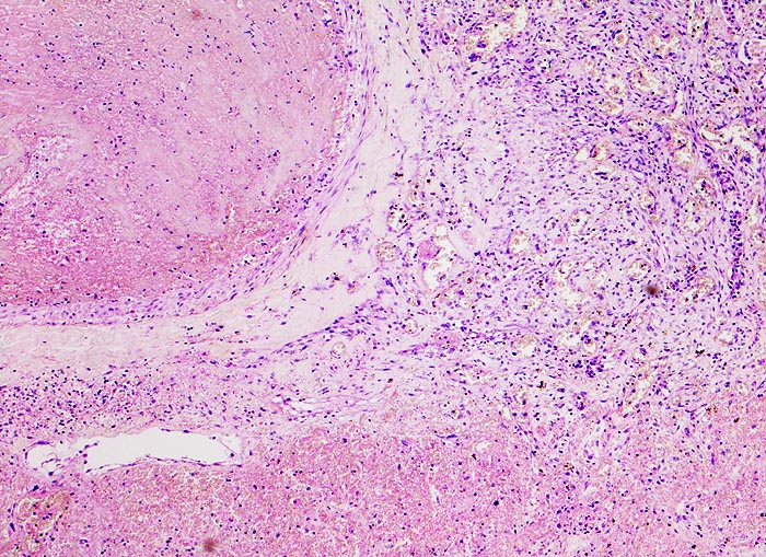
Beschreibung
Links im Bild ein Pulmonalarterienast mit einem frischen Embolus. Das Lungenparenchym rechts im Bild ist nekrotisch und stark hämorrhagisch.
Klinik
Tiefe Beinvenenthrombosen bei metastasierendem Prostatakarzinom. Koronare Herzkrankheit.
Bilder Typ
Histologie
Vergrösserung
50
Alter
86
Geschlecht
männlich
Datum
Ersteintrag: 17.12.2001