Pathopic
HiPaKu
ZyPaKu
PathoBasic
PathoBasic Cytology
Quizzes
Projektinfos
PathoPic - Projekt- und Copyright-Info
About
Pathopic
HiPaKu
ZyPaKu
PathoBasic
PathoBasic Cytology
Quizzes
PathoPic – image database
/
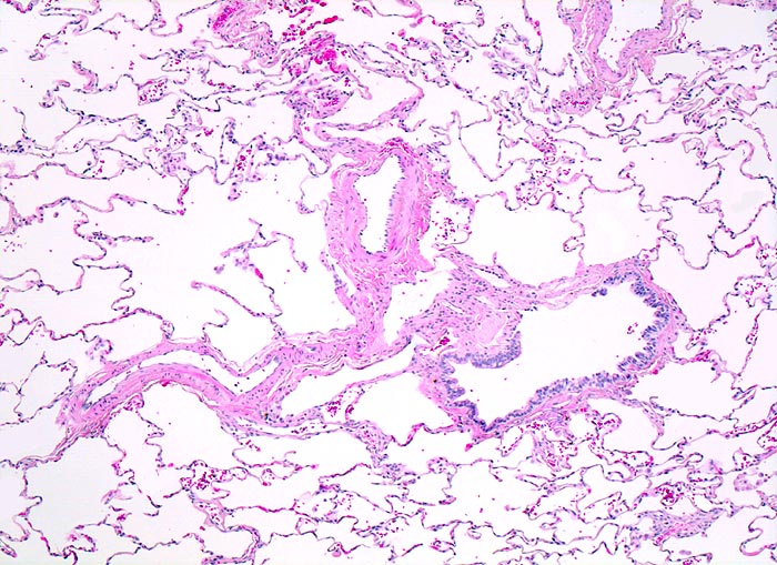
PathoPic ID 4363 - normales Lungenparenchym
de
Diagnose
normales Lungenparenchym
Diagnose Gruppe
Normalbefund
Topographie
Lunge
Topographie Gruppe
Lunge, Mediastinum mit Thymus
Beschreibung
Die Alveolarsepten sind sehr schlank. Die
Lungenarterienäste verlaufen zusammen mit den Luftwegen. Im Bild ein
Bronchiolus.
Bilder Typ
Histologie
Vergrösserung
50
Alter
24
Geschlecht
männlich
Datum
Ersteintrag: 05.04.2002
CPS
·
©
2024 Institut für Pathologie Basel
/
Dr. med. Katharina Glatz-Krieger
.
·
v2.1