AP/ Schwannom (Neurinom)

Diagnose
Schwannom (Neurinom)
Diagnose Gruppe
benigner Tumor
Differenzialdiagnose
Topographie Gruppe
Nervensystem
Topographie
Nerv peripher
Einleitung
Histogenese:
Schwannome leiten sich wie Neurofibrome und maligne periphere Nervenscheidentumoren von den Hüllzellen der peripheren Nerven, der spinalen Nervenwurzeln bzw. der peripheren Anteile der Hirnnerven ab. Schwannome werden synonym auch als Neurinom, Neurilemmom oder Neurolemmom bezeichnet. Sie sind gutartig und entarten nur sehr selten.

Vorkommen und Lokalisation:
8% der intrakraniellen und 29% der primär spinalen Tumoren sind Schwannome. Ausser bei Assoziation mit Neurofibromatose sind die Tumoren meist solitär und wachsen langsam über Jahre. Meist sind sie in peripheren Nerven der Kopf-Hals Region und den Extensoren der Extremitäten lokalisiert. Sie können aber auch von der Haut, von spinalen Nerven oder von Hirnnerven ausgehen, besonders vom 8. Hirnnerven (Acusticusneurinom). Sensorische Nerven sind bevorzugt betroffen, seltener aber auch motorische und autonome Nerven. Viszerale Tumoren sind selten.

Morphologie:
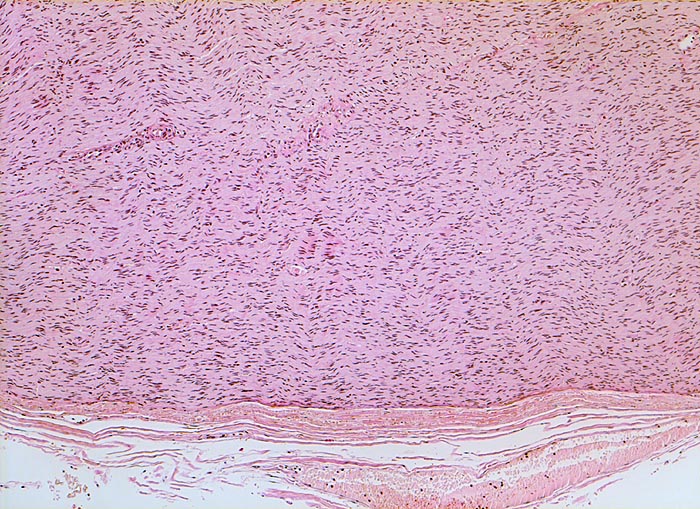
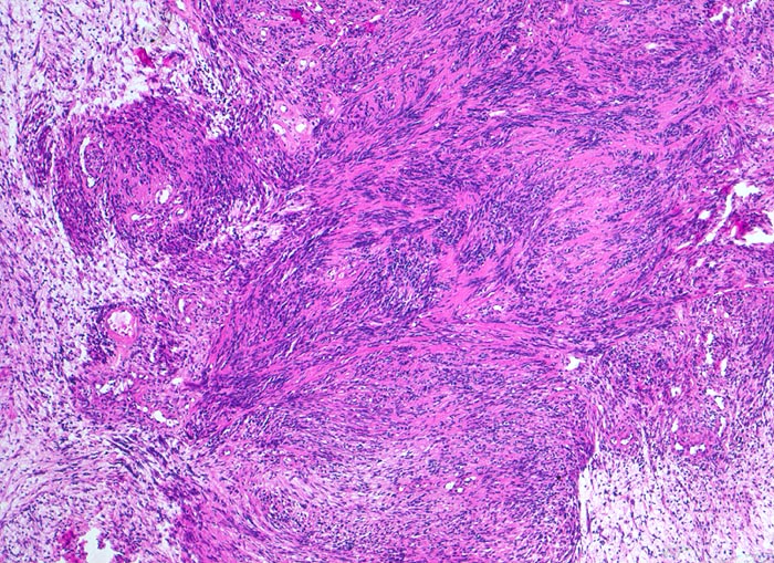
Makroskopisch imponieren Schwannome als scharf begrenzte, derbe, teils zystische Tumoren mit einer Grösse von bis zu 10 cm. Einblutungen sind möglich. Ausser bei Lokalisation im Knochen, in viszeralen Organen oder der Haut sind Neurinome meist abgekapselt. Gelegentlich erkennt man im Randbereich des Neurinoms Anteile des zur Seite verdrängten peripheren Nerven. In peripheren Tumoren lässt sich aber in weniger als der Hälfte der Fälle ein assoziierter Nerv identifizieren. Im Gegensatz zum Neurofibrom, welches den betroffenen Nerven infiltriert, lassen sich beim Schwannom intratumoral keine axonalen Strukturen nachweisen (Holmes Luxol Färbung).
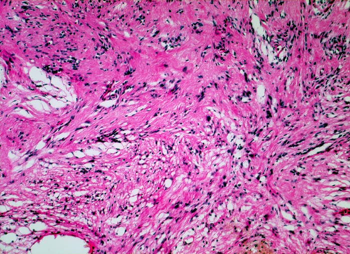
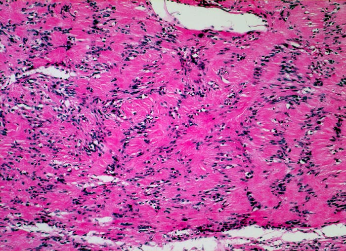
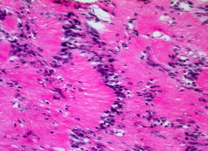
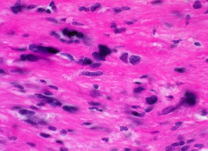
Die histomorphologischen Befunde sind sehr variabel. Am häufigsten bestehen die Tumoren aus Zellzügen mit bipolar orientierten länglichen oder gewellten Kernen und langen Zellfortsätzen. In den sogenannten Antoni A Arealen (> 4295) sind die Zellen in kompakten Bündeln angeordnet, teilweise in Form von Verocay bodies (> 493) (alternierende Anordnung von Kernreihen und Zellfortsätzen). In den Antoni B (> 4296) Arealen bilden die Fortsätze der eher sternförmigen Tumorzellen ein lockeres Geflecht. Einzelne grosse, unregelmässig geformte und hyperchromatische Kerne und flächenhafte Nekrosen, Hyalinisierung oder fokale Verkalkungen sind Ausdruck degenerativer Veränderungen (sogenanntes ancient schwannoma (> 4299)) und dürfen nicht als Zeichen der Malignität fehlinterpretiert werden.
Klinik
Vorkommen:
Schwannome treten in jeder Altersgruppe auf. Am häufigsten sind sie zwischen der vierten bis sechsten Dekade. Die meisten Schwannome treten unabhängig von einem Syndrom auf. Die stärkste Assoziation besteht mit der Neurofibromatose Typ 2, seltener mit dem Typ 1. Multiple oft subkutane Schwannome kommen im Rahmen der seltenen vererbten Schwannomatose vor. Schwannome können nach einer Latenzzeit von durchschnittlich 20 Jahren nach Bestrahlung auftreten.

Symptomatik:
Periphere Schwannome präsentieren sich als asymptomatische Tumormasse, spinale Schwannome mit radikulären Symptomen bzw. Zeichen der Rückenmarkkompression. Acusticusneurinome verursachen Symptome einer Kleinhirnbrückenwinkelläsion (Tinnitus, Hörstörungen, Facialisparese). Motorische Symptome sind selten.

Diagnostik:
Das MRI zeigt eine scharf begrenzte, teils zystische und oft heterogen anreichernde Masse, welche bei paraspinaler Lage eine Knochenarrosion verursachen kann. Diese ist auch im konventionellen Röntgenbild sichtbar.

Therapie:
Die Therapie erfolgt operativ.
Normalbefund
Morphologie
Morphologische Merkmale:
  • Biphasischer Tumor mit überwiegend kompakten (Antoni A Muster) und kleinen lockeren, hellen Arealen (Antoni B Muster).
  • Antoni A Muster: Parallele Anordnung der Zellkerne und Zellfortsätze (Verocay bodies).
  • Antoni B Muster: Lockerer Tumorzellverband mit runden Kernen und spinnwebenartigen Zellfortsätzen.
Das sollte der Kliniker dem Pathologen mitteilen:
  • Tumorlokalisation.
  • Vorliegen einer Neurofibromatose.
  • Multiple Tumoren.
Makroskopie
Virtuelles Präparat
Befund
Pathologischer Befund
Normalbefund
Literatur
Datum
Ersteintrag: 15.04.2010
Update: 15.04.2010