PathoPic – image database / PathoPic ID 5276 - Schwannom: Antoni A und Antoni B Wachstumsmuster

de
Diagnose
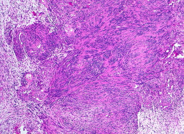
Schwannom: Antoni A und Antoni B Wachstumsmuster
Diagnose Gruppe
benigner Tumor
Topographie
Nerv peripher
Topographie Gruppe
Nervensystem
Beschreibung
Biphasischer Tumor mit kompakten spindelzelligen parallel ausgerichteten dunkleren Tumorzellverbänden ( Antoni A Muster) und lockeren, hellen Zellverbänden ( Antoni B Muster).
Zusatzbefund
Immunhistochemisch sind die Tumorzellen diffus und stark positiv für S-100 Protein.
Klinik
Derber abgekapselter Tumor am Nervus ulnaris
Kommentar
.
Bilder Typ
Histologie
Vergrösserung
50
Alter
44
Geschlecht
unbekannt
Datum
Ersteintrag: 06.10.2002