PathoPic – image database / PathoPic ID 493 - Hämorrhagische akute Cholezystitis

de
Diagnose
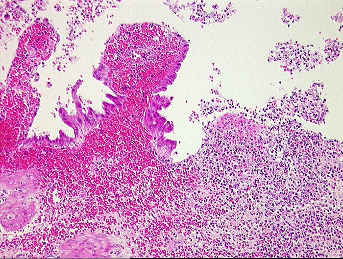
Hämorrhagische akute Cholezystitis
Diagnose Gruppe
Entzündung / Reparatur
Topographie
Gallenblase
Topographie Gruppe
Leber, Gallenwege, Pankreas
Beschreibung
Ulzerierte Gallenblasenschleimhaut mit frischen Einblutungen in der Lamina propria.
Klinik
Akute Cholezystitis.
Bilder Typ
Histologie
Geschlecht
weiblich
Datum
Ersteintrag: 09.11.2001
Update: 10.01.2008