AP/ Lungenemphysem

Diagnose
Lungenemphysem
Diagnose Gruppe
organspezifische Erkrankung
Differenzialdiagnose
Topographie Gruppe
Lunge, Mediastinum mit Thymus
Topographie
Lunge
Einleitung
Definition:
Das Lungenemphysem stellt eine Form der chronisch obstruktiven Lungenerkrankung (COPD) dar, die mit einer irreversiblen Destruktion der Alveolarwände und einer Überblähung der Lunge einhergeht.
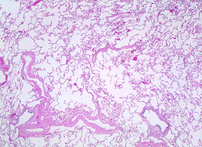
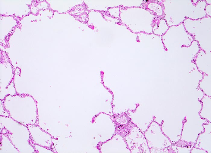
Das chronische destruktive Lungenemphysem (> 3601) ist definiert als permanente Vergrösserung der Lufträume distal der terminalen Bronchiolen (d.h. der Azini) begleitet von einer Wanddestruktion der Alveolen ohne Fibrose. 


Morphologie:
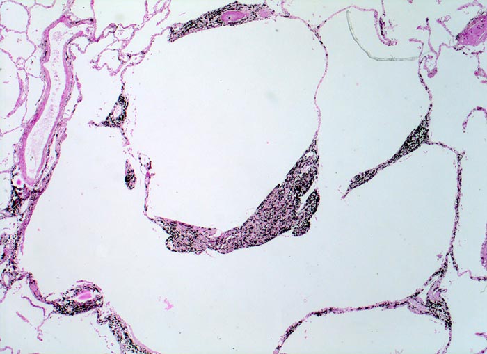
Morphologisch lassen sich zentroazinäre (> 3484), panazinäre (> 3599) und paraseptale Emphyseme (> 3487) unterscheiden sowie das Narbenemphysem in der Umgebung vernarbter Lungenareale. Das zentroazinäre (=zentrolobuläre) Emphysem (vorliegendes Präparat) beginnt primär in den respiratorischen Bronchiolen und breitet sich von dort nach peripher aus. Es spart die terminalen Bronchiolen aus. Diese Form des Emphysems ist assoziiert mit langdauerndem Zigarettenrauchen und befällt bevorzugt die Lungenoberlappen. 
Das panazinäre Emphysem zerstört den gesamten Alveolus (respiratorische und terminale Bronchiolen). Diese Form des Emphysems ist bevorzugt in der unteren Lungenhälfte lokalisiert und ist assoziiert mit einem homozygoten alpha 1- Antitrypsinmangel oder einem Marfansyndrom. Es befällt eher die Lungenbasen. Bei Rauchern kann ein zentroazinäres Emphysem kombiniert sein mit einem fokalen panazinären Emphysem der Lungenbasen. Das paraseptale oder periazinäre Emphysem zerstört distale Anteile des Azinus, welche an das Bindegewebe der Pleura oder der Interlobarsepten angrenzen. Die Belüftung der Lunge ist beim paraseptalen Emphysem meist nicht gestört, aber sehr grosse Bullae können das angrenzende Lungenparenchym komprimieren. 
Histologisch sind die Lufträume erweitert und enthalten frei flottierende Alveolarsepten mit knotenförmigen Spitzen. Peribronchiolär finden sich beim zentroazinären Emphysem reichlich Ablagerungen von schwarzem Anthrakosepigment.

Verlauf: 
Die destruktiven Emphyseme führen zur respiratorischen Insuffizienz und zur rechtskardialen Hypertrophie (Cor pulmonale (> 306)). 

update 1. September 2020

Klinik
Vorkommen:
Zwischen 4-6% erwachsener Männer und 1-3% Frauen leiden unter einer chronisch obstruktiven Lungenerkrankung. Die meisten Patienten mit einem Lungenemphysem haben bei erstmaligem Auftreten von produktivem Husten oder Brustschmerzen eine Anamnese von mindestens 20 Pack Years Zigarettenkonsum und sind zu diesem Zeitpunkt durchschnittlich 50 Jahre alt. Die Anstrengungsdyspnoe tritt früh im Erkrankungsverlauf auf. Patienten mit einem homozygoten alpha 1-Antitrypsinmangel sind meist jünger bei Erstmanifestation. Inzidenz und Prävalenz des Lungenemphysems sind bei Rauchern um den Faktor 2.8 häufiger als bei Nichtrauchern. 
 
Symptomatik:
Die Atemfrequenz steigt proportional zum Schweregrad der Erkrankung. Der Gebrauch akzessorischer Atemhilfsmukulatur, Zyanose, erhöhter Jugularvenendruck und periphere Ödeme sind ebenfalls Zeichen eines weit fortgeschrittenen Emphysems. 
Akute Exazerbationen sind gekennzeichnet durch pfeifende Atemgeräusche, Dyspnoe, Husten und ev. Fieber.

Diagnostik:
Bei der körperlichen Untersuchung fallen ein Fassthorax, Giemen, diffus vermindertes Atemgeräusch, hypersonorer Klopfschall und verlängerte Expiration auf. Der alpha 1-Antitrypsinspiegel im Serum sollte bestimmt werden bei Patienten, die weniger als 40 Jahre alt sind oder eine Familienanamnese von Lungenemphysem in jungem Alter haben. Bei stabiler chronischer Bronchitis ist das Sputum mukoid und enthält vor allem Makrophagen. Bei einer akuten Exazerbation wird das Sputum eitrig und es können oft Pneumokokken oder Haemophilus influenzae kultiviert werden. Die Lungenfunktionstests zeigen eine erhöhte totale Lungenkapazität und funktionelle Residualkapazität, während die Vitalkapazität erniedrigt ist. Die arterielle Blutgasanalyse zeigt in leichteren Fällen eine Hypoxämie ohne Hyperkapnie. Wenn das forcierte exspiratorische Volumen (Volumen, das sich bei forcierter maximal beschleunigter Exspiration innerhalb einer Sekunde ausatmen lässt, FEV1) unter 1l / s bzw. unter 30% des Erwartungswertes abfällt, kommt eine Hyperkapnie hinzu. 
 
Therapie:
Ziel der Therapie ist eine Verbesserung der Lebensqualität durch Verhinderung von Exazerbationen der chronischen Bronchitis und eine Erhaltung der Lungenfunktion. Der Rauchstopp stellt die wichtigste therapeutische Intervention dar. Nach Ausschöpfen der konservativen und medikamentösen Therapiemassnahmen mit Bronchodilatatoren und inhalierten Steroiden kann bei selektionierten Patienten mit fortgeschrittenem Lungenemphysem eine chirurgische oder bronchoskopische Behandlung durchgeführt werden. Ziel der interventionellen Emphysembehandlungen ist die Abnahme der Lungenüberblähung durch Lungenvolumenreduktion. Damit verbunden ist eine Reduktion der Dyspnoe, eine Verbesserung der FEV1 und eine Zunahme der Leistungsfähigkeit. Ultima ratio ist die Lungentransplantation.

update 1. September 2020

Morphologie
Morphologische Merkmale: 
  • Schwarz pigmentierte erweiterte Azinuszentren. 
  • Fragmentierte Alveolarsepten im Bereich der erweiterten Azinuszentren. 
  • Bruchstücke von Alveolarsepten und Gefässen im Zentrum der emphysematischen Räume. Das sollte der Kliniker dem Pathologen mitteilen: 
  • Nikotinabusus (Pack Years). 
Makroskopie
Befund
Pathologischer Befund
Normalbefund
Datum
Ersteintrag: 17.03.2019
Update: 01.09.2020