AP/ Duktales Adenokarzinom des Pankreas

Diagnose
Duktales Adenokarzinom des Pankreas
Diagnose Gruppe
maligner Tumor
Topographie Gruppe
Leber, Gallenwege, Pankreas
Topographie
Pankreas
Einleitung
Vorkommen:
Das duktale Adenokarzinom ist bei weitem der häufigste im Pankreas diagnostizierte Tumortyp (85-90% der Pankreastumoren).

Lokalisation:
Operierte Karzinome sind zu 80-90% im Pankreaskopf lokalisiert, da sie früher symptomatisch werden (schmerzloser Ikterus, epigastrische Schmerzen mit Ausstrahlung in den Rücken). Karzinome im Pankreaskörper und -schwanz haben bei Diagnosestellung meist schon metastasiert.

Morphologie:
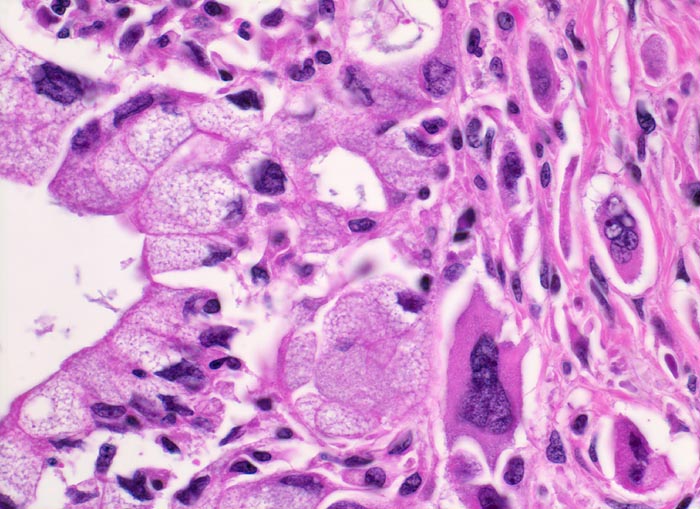
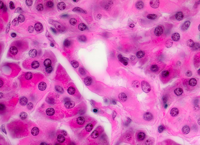
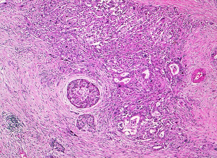
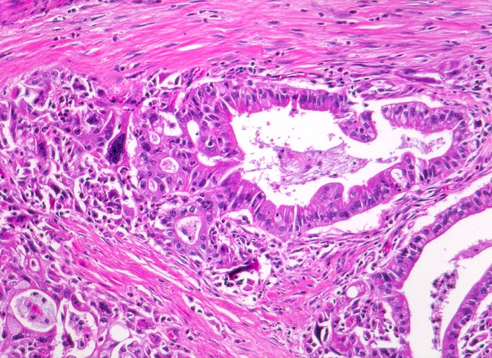
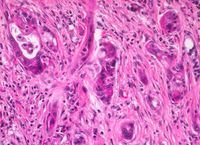
Die meisten Pankreaskarzinome sind mässig bis hoch differenziert und führen zu einer deutlichen desmoplastischen Stromareaktion (derbe Konsistenz). Hochdifferenzierte Tumoren (> 1502) können sehr ähnlich aussehen wie eine chronische Pankreatitis (> 4243). Im Gegensatz zur Pankreatitis sind die neoplastischen Drüsen verformt oder rupturiert und zeigen zelluläre Atypien (grosse polymorphe Kerne mit prominenten Nucleolen). Die Tumordrüsen sind unregelmässig im Stroma angeordnet und nicht lobulär wie in der Pankreatitis. Nicht selten ist eine Nervenscheideninvasion nachweisbar (> 5884). Gelegentlich zeigen die Gänge im tumorfreien Parenchym dysplastische Veränderungen oder der Tumor breitet sich intraduktal entlang des Pankreasganges aus.

Anmerkung:
Bei inkompletter Pankreasresektion wird der Resektionsrand wegen der makroskopisch schwierigen Unterscheidung von Karzinom und Pankreatitis oft im Schnellschnitt untersucht.
Klinik
Vorkommen:
Das durchschnittliche Erkrankungsalter liegt zwischen 60 und 70 Jahren. Das Pankreaskarzinom trägt mit seiner extrem schlechten Prognose wesentlich zu den karzinombedingten Todesfällen bei.

Risikofaktoren:
Ein erhöhtes Karzinomrisiko wird beobachtet bei chronischer Pankreatitis, exzessivem Alkoholkonsum, nach partieller Gastrektomie, bei Rauchern und bei fett- und fleischreicher Ernährung.

Symptomatik:
Häufigste Symptome sind ungewollter Gewichtsverlust, Rücken- oder Abdominalschmerzen und Ikterus.

Diagnostik:
Sonographie, Abdomen CT, ERCP, Probelaparotomie oder Laparoskopie finden in der Diagnostik Anwendung.

Therapie:
Eine Operation in kurativer Absicht ist nur bei 10-15% der Patienten möglich. Als palliative Eingriffe zur Therapie der Cholestase werden biliodigestive Anastomosen oder endoskopische Stenteinlagen vorgenommen.
Normalbefund
Morphologie
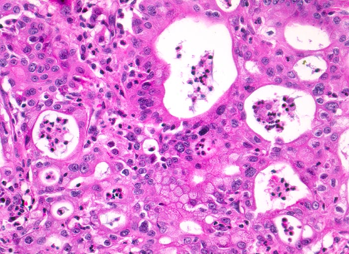
Morphologische Merkmale:
  • Unregelmässige Anordnung der Drüsen (keine Läppchenarchitektur erkennbar).
  • Kribriforme Drüsenformationen.
  • Inkomplette Drüsen mit unvollständigen Lumina und Infiltration des Stromas durch Tumoreinzelzellen.
  • Nekrotische Tumorzellen in den Drüsenlumina.
  • Ausgeprägte Polymorphie und Hyperchromasie der Tumorzellkerne.
  • Desmoplastisches Stroma.
  • Rechts oben Reste von nicht neoplastischem Pankreasparenchym mit fokaler chronisch obstruktiver Pankreatitis als Folge von tumorbedingten Gangobstruktionen: Vollständige Atrophie des exokrinen Pankreas bei erhaltenen Inseln. Ersatz des atrophen Parenchyms durch Fibrose. Chronisches Entzündungsinfiltrat.
Das sollte der Kliniker dem Pathologen mitteilen:
  • Radiologischer und intraoperativer Befund.
  • Typ der Resektion.
  • Karzinomverdacht.
Praxis-Tipp:
  • Markierung der chirurgischen Resektionsränder.
  • Bei ausgedehnten Resektaten ev. telefonischen Kontakt aufnehmen mit dem Pathologen oder Skizze anfertigen.
Makroskopie
Befund
Pathologischer Befund
Normalbefund
Datum
Ersteintrag: 10.07.2019
Update: 10.07.2019