PathoPic – image database / PathoPic ID 5884 - duktales Adenokarzinom des Pankreas: Nervenscheideninvasion

de
Diagnose
duktales Adenokarzinom des Pankreas: Nervenscheideninvasion
Diagnose Gruppe
maligner Tumor
Topographie
Pankreas
Topographie Gruppe
Leber, Gallenwege, Pankreas
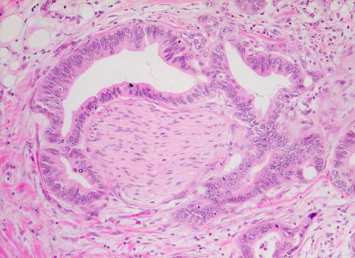
Beschreibung
Drüsen mit deutlich atypischer Epithelauskleidung umschliessen konzentrisch einen peripheren Nerven.
Klinik
Pankreaskopftumor
Kommentar
Der Nachweis einer zirkulären Infiltration der Nervenscheiden durch atypische Drüsen bestätigt die Malignität des Tumors und ist vor allem unter Schnellschnittbedingungen ein hilfreiches Merkmal.
Bilder Typ
Histologie
Vergrösserung
400
Alter
52
Geschlecht
männlich
Datum
Ersteintrag: 01.01.2003
Update: 17.02.2003