PathoPic – image database / PathoPic ID 1502 - Gut differenziertes duktales Adenokarzinom

de
Diagnose
Gut differenziertes duktales Adenokarzinom
Diagnose Gruppe
maligner Tumor
Topographie
Pankreas
Topographie Gruppe
Leber, Gallenwege, Pankreas
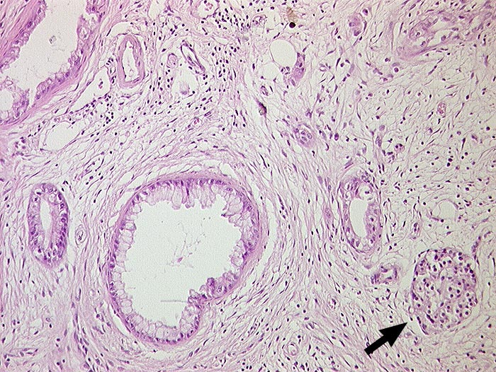
Beschreibung
Im desmoplastischen Stroma liegen irregulär verstreut Drüsenschläuche mit hochprismatischem Epithel und minimalen Zellatypien. Vom normalen Pankreasparenchym sind lediglich einzelne Inseln übriggeblieben.
Zusatzbefund
Pankreasgangstenose. Nervenscheideninvasion und Lymphangiosis carcinomatosa.
Kommentar
Das Fehlen einer organoiden Anordnung der ansonsten kaum atypischen Drüsen hilft zur Abgrenzung von einer chronischen Pankreatitis.
Bilder Typ
Histologie
Alter
70
Geschlecht
unbekannt
Datum
Ersteintrag: 10.12.2001