AP/ Aethylische Leberzirrhose

Diagnose
Aethylische Leberzirrhose
Diagnose Gruppe
Therapiefolgen
Differenzialdiagnose
  • - Zirrhose bei nicht alkoholischer Steatohepatitis (NASH)- Morbus Wilson
Topographie Gruppe
Leber, Gallenwege, Pankreas
Topographie
Leber
Einleitung
Definition:
Ein Aethylabusus kann zu unterschiedlichen Veränderungen in der Leber führen. Die Leberverfettung (Steatose, alkoholische Fettlebererkrankung AFLD) ist das erste histologische Zeichen einer aethylischen Leberschädigung und tritt bei schwerem chronischem Aethylabusus in über 90% auf. Hinzukommen kann eine Entzündung (=Steatohepatitis) und schliesslich eine Fibrose (=chronisch sklerosierende Steatohepatitis). Das fortgeschrittenste Stadium, die Leberzirrhose ist definiert als diffuser Prozess mit Fibrose und Umwandlung der normalen Läppchenarchitektur in strukturell abnorme Knoten mit vaskulärer Architekturstörung. 
 
Morphologie:
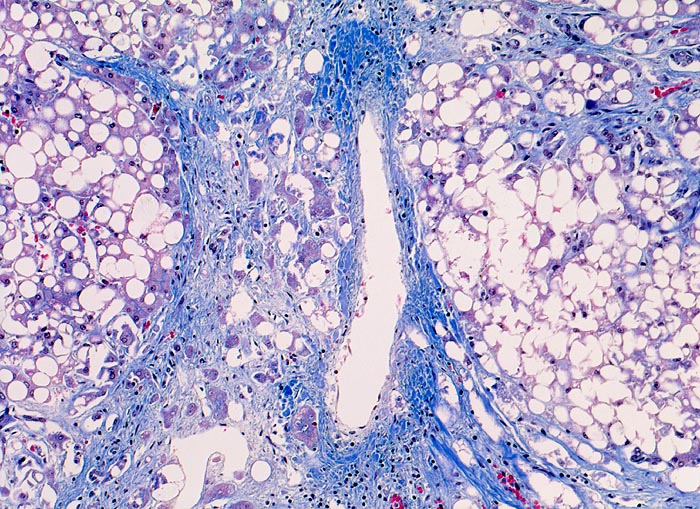
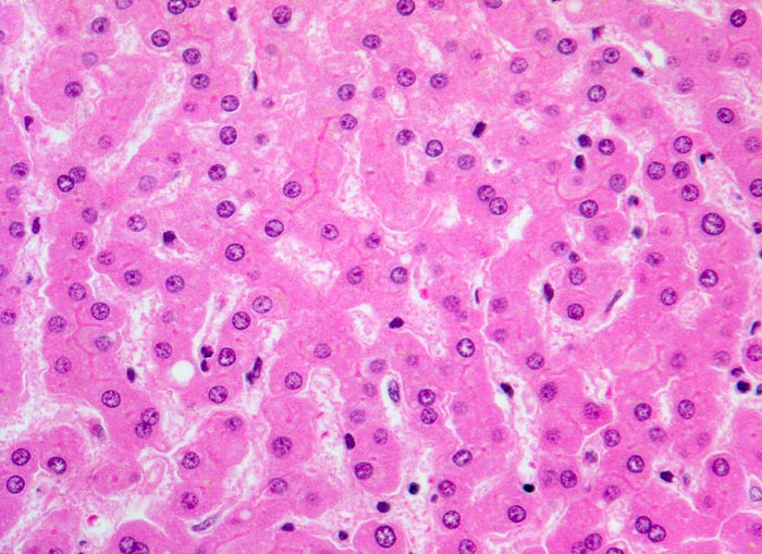
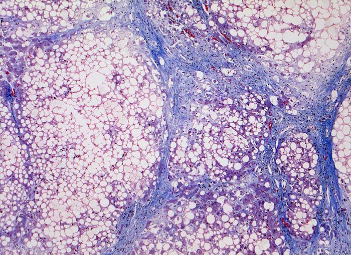
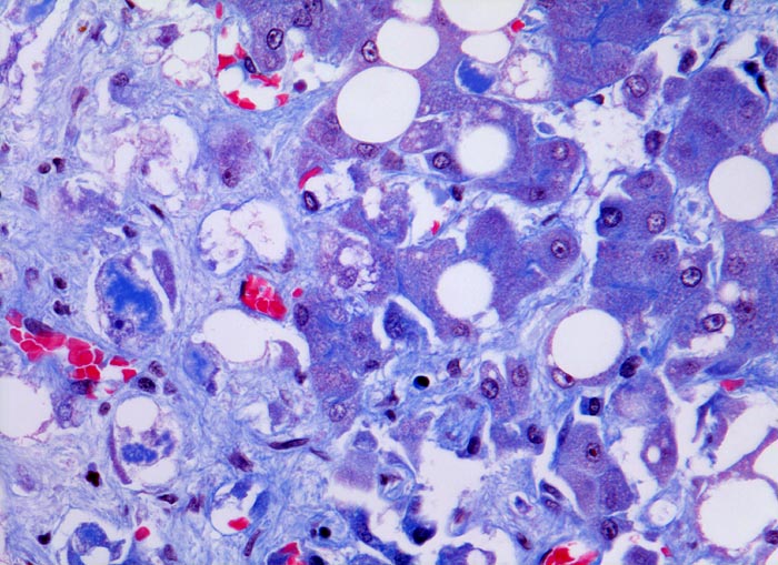
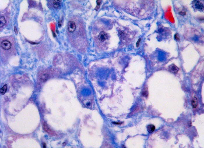
Meist findet sich eine grobtropfige oder gemischttropfige Verfettung des Parenchyms. Schon im Frühstadium der alkoholischen Steatohepatitis kann eine perizelluläre Maschendrahtfibrose, perisinusoidale und perivenuläre Fibrose mit Beginn in der Zone 3 festgestellt werden. Die Kombination von perivenulärer und perizellulärer (> 1096) Fibrose wird bei starker Ausprägung mit Arealen von dichter Kollagenfaserbildung auch als zentrale sklerosierende hyaline Nekrose bezeichnet. Wenn der Vernarbungsprozess fortschreitet, kann die perivenuläre Fibrosezone mit vernarbten Portalfeldern verschmelzen. Zentralvenen verschwinden oder sind stark in der Anzahl reduziert. Eine Phlebosklerose oder Obliteration der Zentralvenen kann hinzukommen. Breite Bänder von fibrotischem Gewebe mit Ductulusproliferationen und gemischtem Entzündungsinfiltrat umgeben die bei alkohlischer Zirrhose meist kleinen Regeneratknoten (=mikronoduläre Leberzirrhose mit Regeneratknoten von weniger als 3mm Durchmesser). Bei längeren Abstinenzphasen kann sich aufgrund der gesteigerten Regeneration auch eine gemischtknotige Zirrhose ausbilden. Ein gleichzeitiges Vorliegen einer Steatose oder Steatohepatitis (Steatose+neutrophile Granulozyten) in einer alkoholischen Leberzirrhose signalisiert in der Regel einen fortgesetzten Aethylabusus. Typisch für alkoholtoxische Leberschädigung sind Mallory-Denk Körperchen (> 3021), Megamitochondrien (> 3022) und eine Zellschwellung (=Ballonierung) aufgrund einer gestörten Albuminausschleusung. Oft können mässige Mengen von Hämosiderinablagerungen vor allem in den Kupffer Zellen nachgewiesen werden. Weitgehend identische morphologische Veränderungen wie bei der aethylischen Leberschädigung finden sich auch bei der nicht alkoholischen Steatohepatitis (NASH) d.h. bei Patienten, die keinen oder nur wenig Alkohol konsumieren. 

Vorkommen:
Die Zirrhosehäufigkeit nimmt zu bei Konsum von >30 g reinem Alkohol/Tag bei Frauen, > 80 g bei Männern. Nur ca. 15% der Patienten mit übermässigem Alkoholkonsum entwickeln aber eine Zirrhose, da auch endogene (genetische) Faktoren eine Rolle spielen. Eine Leberzirrhose kann sich auch bei Patienten mit nicht alkoholischer Fettlebererkrankung (NAFLD), Virushepatitiden (B und C), Speicherkrankheiten wie Hämochromatose und M. Wilson, sowie autoimmunen Erkrankungen entwickeln. Die Leberzirrhose ist weltweit für >1 Millionen Todesfälle pro Jahr verantwortlich bei steigender Prävalenz infolge der starken Zunahme der NAFLD.
 
Symptomatik:
Die kompensierte Phase verläuft meist asymptomatisch. Klinische Zeichen finden sich oft erst im Stadium der Dekompensation. Die Diagnose der Zirrhose beruht dann auf sonographischen oder auf klinisch-chemischen Untersuchungen. Symptome einer aktiven Zirrhose sind Zeichen der Zellschädigung und -nekrose mit Erhöhung der Leberwerte. Bei einer dekompensierte Zirrhose finden sich Zeichen der portalen Hypertension, einer hepatischen Enzephalopathie, bzw. Zeichen der gestörten Leberfunktion. Die Leberzirrhose ist eine Multisystemerkrankung. Komplikationen ergeben sich als Folge der portalen Hypertonie (Varizen, Aszites, Splenomegalie, hepatische Enzephalopathie oder der Immundysfunktion. Infektionen und Gastrointestinalblutungen sind die häufigsten Gründe für Dekompensation, Leberversagen oder Multiorganversagen. Eine weitere Komplikation ist das hepatozelluläre Karzinom, das in der Mehrzahl der Fälle mit Leberzirrhose assoziiert ist.
 
Einteilung:
Die Leberfunktion wird beurteilt nach der Child-Pugh Klassifikation (Quick, Albumin, Bilirubin, Aszites Menge, hepatische Enzephalopathie). 
 
Therapie:
Zum frühestmöglichen Zeitpunkt der Diagnosestellung sollte die zugrundeliegende Hepatopathie kausal behandelt werden (strikte Alkoholkarenz bei aethylischer Leberzirrhose, antivirale Therapie bei Hepatitis C). Symptomatische Therapie von Komplikationen wie Aszites, Varizen, Infektionen oder hepatischer Enzephalopathie. Bei progredienter Dekompensation ist die Lebertransplantation als kurativer Ansatz zu überprüfen.

Prognose:
Sichere morphologische oder klinische Indikatoren für das Risiko einer Progression in eine Leberzirrhose existieren nicht. 

Update 9. September 2020 
Klinik
Vorkommen:
Die Zirrhosehäufigkeit nimmt zu bei Konsum von >30 g reinem Alkohol/Tag bei Frauen, > 80 g bei Männern. Nur ca. 15% der schweren Trinker entwickeln aber eine Zirrhose, da auch endogene (genetische) Faktoren eine Rolle spielen. Die häufigste Ursache für die NASH sind ausgeprägte Adipositas, Typ-II Diabetes, Hyperlipidämie, Bypassoperationen zur Gewichtsreduktion, parenterale Ernährung oder Medikamente. Etwa 10-40% der NASH-Patienten entwickeln eine Leberfibrose oder Leberzirrhose.

Symptomatik:
Eine inaktive Zirrhose kann asymptomatisch sein. Die Diagnose der Zirrhose beruht dann auf sonographischen oder auf klinisch-chemischen Untersuchungen. Symptome einer aktiven Zirrhose sind Zeichen der Zellschädigung und -nekrose mit Erhöhung der Leberwerte. Bei einer dekompensierte Zirrhose finden sich Zeichen der portalen Hypertension, einer hepatischen Enzephalopathie, bzw. Zeichen der gestörten Leberfunktion. 

Einteilung:
Die Leberfunktion wird beurteilt nach der Child-Pugh Klassifikation (Quick, Albumin, Bilirubin, Aszites Menge, hepatische Enzephalopathie). 

Morphologie
Morphologische Merkmale: 
  • Zerstörte Läppchenarchitektur mit diffusem feinknotigem Umbau des Leberparenchyms. 
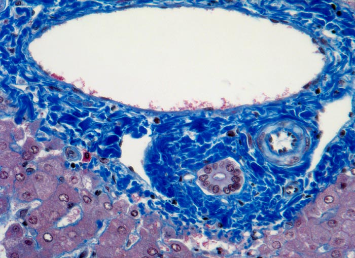
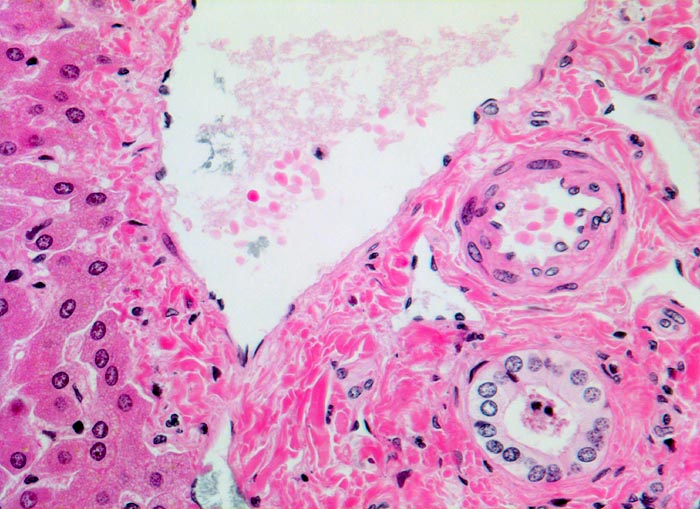
  • Breite Fibrosebänder mit Ductulusproliferation und gemischter Entzündung. 
  • Perivenuläre Fibrose und perizelluläre Maschendrahtfibrose in Zone 3. 
  • Verminderte Anzahl Zentralvenen. 
  • Mallory-Denk Körperchen
  • Megamitochondrien. 
  • Hydropische Zellschwellung. 
  • Überwiegend makrovesikuläre, teils gemischttropfige Verfettung der Leberzellen. 
  • Intralobuläre Infiltrate neutrophiler Granulozyten (alkoholische Steatohepatitis: grobtropfige Verfettung, Maschendrahtfibrose und intralobuläre neutrophile Granuloyzten). 

Das sollte der Kliniker dem Pathologen mitteilen: 
  • Aktueller oder sistierter Alkoholabusus (zur Unterscheidung von einer fortgeschrittenen nicht alkoholischen Steatohepatitis=NASH). 
  • Mögliche andere Gründe für eine Leberzirrhose (Virusserologie, Hämochromatose, PBC/PSC, Autoimmunhepatitis). 
  • Zeichen der portalen Hypertension. 
  • Medikamenteneinnahme. 
Makroskopie
Befund
Pathologischer Befund
Normalbefund
Datum
Ersteintrag: 10.07.2019
Update: 01.09.2020