PathoPic – image database / PathoPic ID 3022 - Mallory Körper und Megamitochondrien bei alkoholischer Steatohepatitis

de
Diagnose
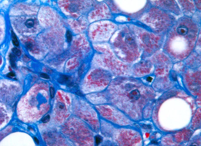
Mallory Körper und Megamitochondrien bei alkoholischer Steatohepatitis
Diagnose Gruppe
Therapiefolgen
Topographie
Leber
Topographie Gruppe
Leber, Gallenwege, Pankreas
Beschreibung
Vereinzelte Hepatozyten enthalten eine grosse Lipidvakuole. Eine hydropisch geschwollene Leberzelle enthält im Zytoplasma einen blauen amorphen Mallory-Denk Körper. Die meisten enthalten in ihrem Zytoplasma hellrote teils runde, teils lanzettförmige vergrösserte Megamitochondrien.
Bilder Typ
Histologie
Vergrösserung
630
Geschlecht
weiblich
Datum
Ersteintrag: 20.03.2002
Update: 06.02.2009