l/ Burkitt Lymphom

Diagnose
Burkitt Lymphom
Diagnose Gruppe
maligner Tumor
Differenzialdiagnose
Topographie Gruppe
Lymphatische Gewebe, KM, Milz
Topographie
Tonsille
Einleitung
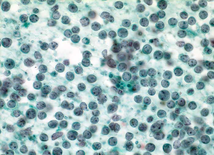
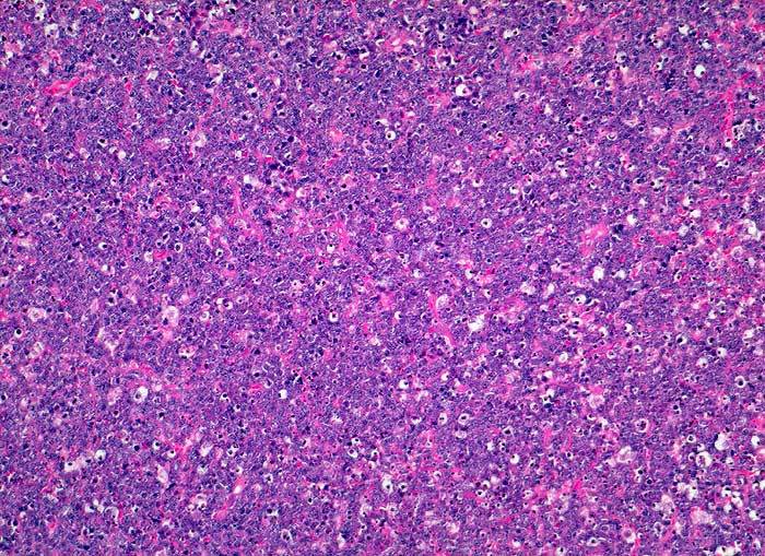
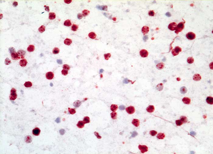
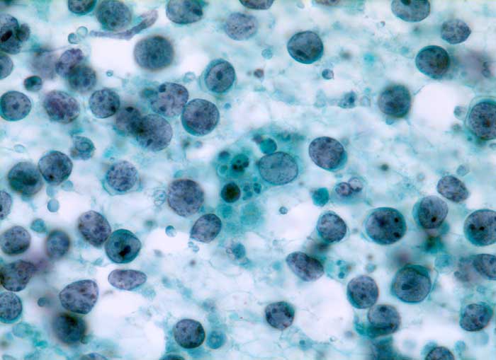
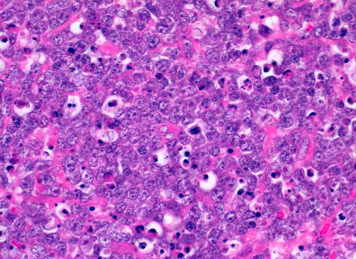
Die Zellen des Burkitt Lymphoms sind mittelgross und die rundlichen Kerne besitzen 2 bis 5 basophile Chromozentren. Der Kernhintergrund ist auffallend hell. Das Zytoplasma ist mittelbreit und basophil. Der Ausstrichhintergrund enthält lymphoglanduläre Körperchen und viele Kerntrümmermakrophagen. Kerntrümmermakrophagen sind also kein verlässliches Zeichen für die Benignität eines Befundes. Entsprechend der sehr hohen Proliferationsrate sind gegen 100% der Tumorzellen Ki67/Mib1 positiv. Eine geringere Proliferationsrate spricht gegen die Diagnose eines Burkitt Lymphoms.
Klinik
-
Normalbefund
Morphologie
Makroskopie
Virtuelles Präparat
Befund
Pathologischer Befund
Normalbefund
Literatur
Datum
Ersteintrag: 01.04.2003
Update: 01.04.2003