PathoPic – image database / PathoPic ID 5497 - Burkitt Lymphom

de
Diagnose
Burkitt Lymphom
Diagnose Gruppe
maligner Tumor
Topographie
Tonsille
Topographie Gruppe
Lymphatische Gewebe, KM, Milz
Beschreibung
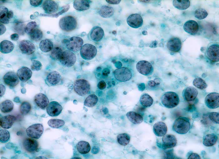
Frischgewebsabstrich Tonsille: Einheitlicher Rasen von atypischen lymphoiden Zellen, die zytoplasmaarm und 2-3 mal grösser sind als kleine Lymphozyten. Kerne rundlich, Kernstruktur feinkörnig. Zahl und Form der Chromozentren sehr variabel, teils zentroblastenähnlich nahe der Kernmembran angeordnet. Kerntrümmermakrophage.
Klinik
Verdacht auf Lymphom der linken Tonsille
Kommentar
Zytologische Diagnose: Malignes Non Hodgkin Lymphom. Die genaue Klassifikation sollte am histologischen Präparat erfolgen.
Bilder Typ
Zytologie
Vergrösserung
400
Alter
25
Geschlecht
männlich
Datum
Ersteintrag: 23.12.2002
Update: 11.02.2003