PathoPic – image database / PathoPic ID 5498 - Burkitt Lymphom

de
Diagnose
Burkitt Lymphom
Diagnose Gruppe
maligner Tumor
Topographie
Tonsille
Topographie Gruppe
Lymphatische Gewebe, KM, Milz
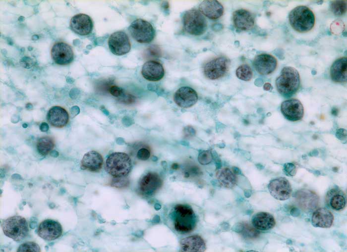
Beschreibung
Frischgewebsabstrich Tonsille: Einheitlicher Rasen von atypischen lymphoiden Zellen, die zytoplasmaarm und 2-3 mal grösser sind als kleine Lymphozyten. Kerne rundlich, Kernstruktur feinkörnig. Mitose. Im Hintergrund zahlreiche lymphoglanduläre Körperchen.
Klinik
Verdacht auf Lymphom der linken Tonsille
Kommentar
Die als lymphoglanduläre Körperchen (Soderstrom-Körperchen) bezeichneten Zytoplasmafragmente im Hintergrund treten besonders in Ausstrichen, weniger in Tupfpräparaten auf. Sie sind ein unspezifisches Hilfskriterium der Lymphomdiagnose, da sie auch in Ausstrichen von entzündlichen Lymphknoten und bei Karzinommetastasen vorkommen können.
Bilder Typ
Zytologie
Vergrösserung
630
Alter
25
Geschlecht
männlich
Datum
Ersteintrag: 23.12.2002
Update: 11.02.2003