l/ Exogene allergische Alveolitis (EAA)

Diagnose
Exogene allergische Alveolitis (EAA)
Diagnose Gruppe
Entzündung / Reparatur
Differenzialdiagnose
Topographie Gruppe
Lunge, Mediastinum mit Thymus
Topographie
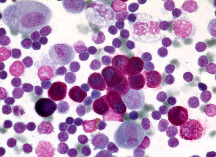
Broncho-alveoläre Lavage
Einleitung
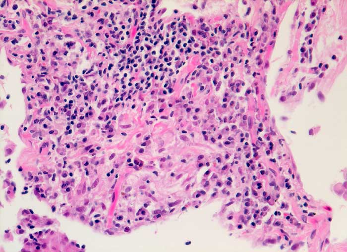
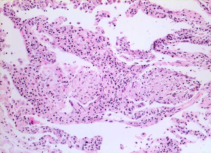
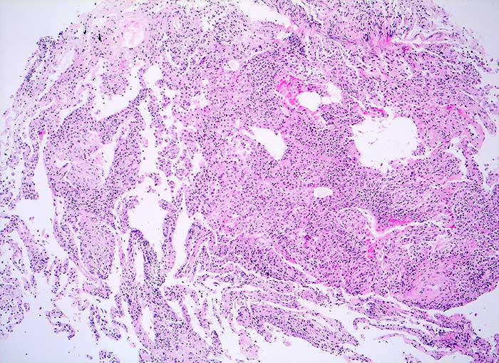
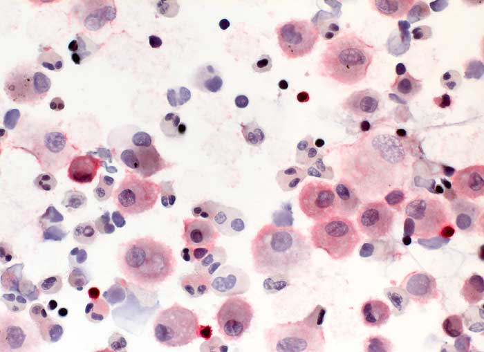
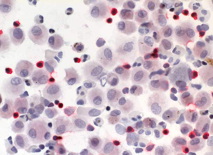
Die exogene allergische Alveolitis (Hypersensitivitätspneumonie) ist eine Entzündungsreaktion der Lunge, die bei prädisponierten Individuen durch pflanzliche oder tierische Inhalationsantigene ausgelöst werden kann. Die BAL Befunde hängen vom Stadium der Erkrankung ab. In der perakuten Phase überwiegen neutrophile Granulozyten. Ausserdem sind in den ersten Tagen der Exposition die Mastzellen auf über 1% erhöht (mehr als 3/10 HPF), um nach 1 bis 3 Monaten wieder auf Normalwerte abzufallen. Bei aktiver EAA besteht oft eine extreme Lymphozytose von 60-70%. Bei chronischer Erkrankung sind Schaumzellen, einige eosinophile Granulozyten und als Ausdruck der Fibrose reichlich neutrophile Granulozyten nachzuweisen. Eine Lymphozytose von mehr als 100x10^6/L in der BAL zusammmen mit einem erniedrigten HS Quotienten von unter 0.5 sind bei entsprechendem klinischen Verdacht vereinbar mit einer exogenen allergischen Alveolitis.
Klinik
-
Normalbefund
Morphologie
Makroskopie
Virtuelles Präparat
Befund
Pathologischer Befund
Normalbefund
Literatur
Datum
Ersteintrag: 01.04.2003
Update: 01.04.2003