PathoPic – image database / PathoPic ID 5825 - Exogen allergisch Alveolitis

de
Diagnose
Exogen allergisch Alveolitis
Diagnose Gruppe
Systemerkrankung/Immunpathologie
Topographie
Lunge
Topographie Gruppe
Lunge, Mediastinum mit Thymus
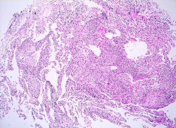
Beschreibung
Alveoläres Lungengewebe mit mässig bis deutlich ausgeprägter interstitieller Entzündung und einigen lockeren intraalveolären Granulomen. Herdförmige geringe interstitielle Fibrose. Geringe Alveolarzellretention.
Zusatzbefund
Broncho-alveoläre Lavage: Massive Lymphozytose und deutliche Vermehrung der Alveolarmakrophagen mit schaumzelliger Umwandlung. Mässige Eosinophilie und deutliche Vermehrung der Mastzellen.
Klinik
BOOP, Cordarone-Pneumopathie, Alveolarzell-Ca ?
Kommentar
Die Vermehrung der Alveolarmakrophagen mit schaumzelliger Umwandlung in der BAL passt zu dem hier histologisch beobachteten Befund der Alveolarzellretention, was bei der exogen-allergischen Alveolitis häufig zu beobachten ist.
Bilder Typ
Histologie
Vergrösserung
50
Alter
62
Geschlecht
männlich
Datum
Ersteintrag: 13.12.2002
Update: 17.02.2003