PathoPic – image database / PathoPic ID 5793 - Exogen allergisch Alveolitis, Mastozytose

de
Diagnose
Exogen allergisch Alveolitis, Mastozytose
Diagnose Gruppe
Systemerkrankung/Immunpathologie
Topographie
Broncho-alveoläre Lavage
Topographie Gruppe
Lunge, Mediastinum mit Thymus
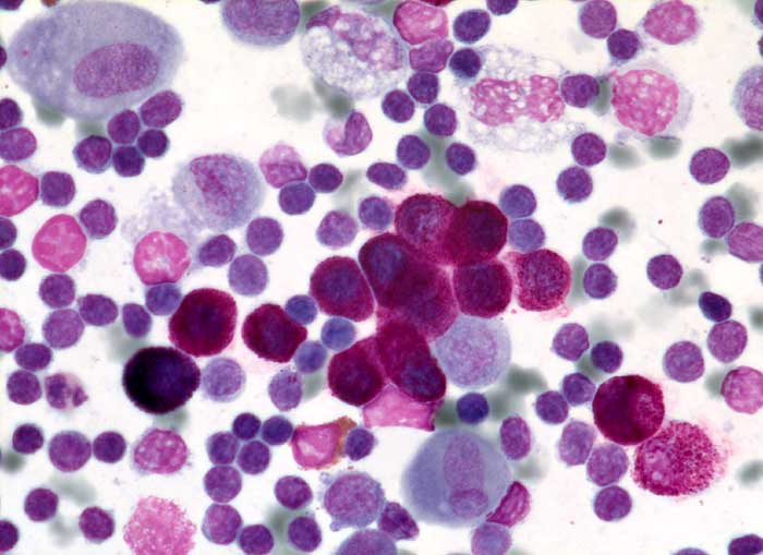
Beschreibung
Die stark vermehrten Mastzellen bilden kleine Aggregate. Daneben zahlreiche Lymphozyten und nur wenige Makrophagen.
Zusatzbefund
Massive Lymphozytose und Mastozytose (342/10 HPF), minimale Vermehrung eosinophiler Granulozyten.
Klinik
Interstitielle Pneumopathie mit retikulonodulären Verschattungen im Röntgenbild. Patient Vogelhalter.
Kommentar
Mastzellen sind in der BAL bei exogen allergischer Alveolitis, aber auch bei fibrosierenden Lungenprozessen vermehrt.
Bilder Typ
Zytologie
Vergrösserung
630
Alter
59
Geschlecht
männlich
Datum
Ersteintrag: 10.12.2002
Update: 17.02.2003