l/ CD45 ( LCA)

Diagnose
CD45 ( LCA)
Diagnose Gruppe
Differenzialdiagnose
Topographie Gruppe
Topographie
Einleitung
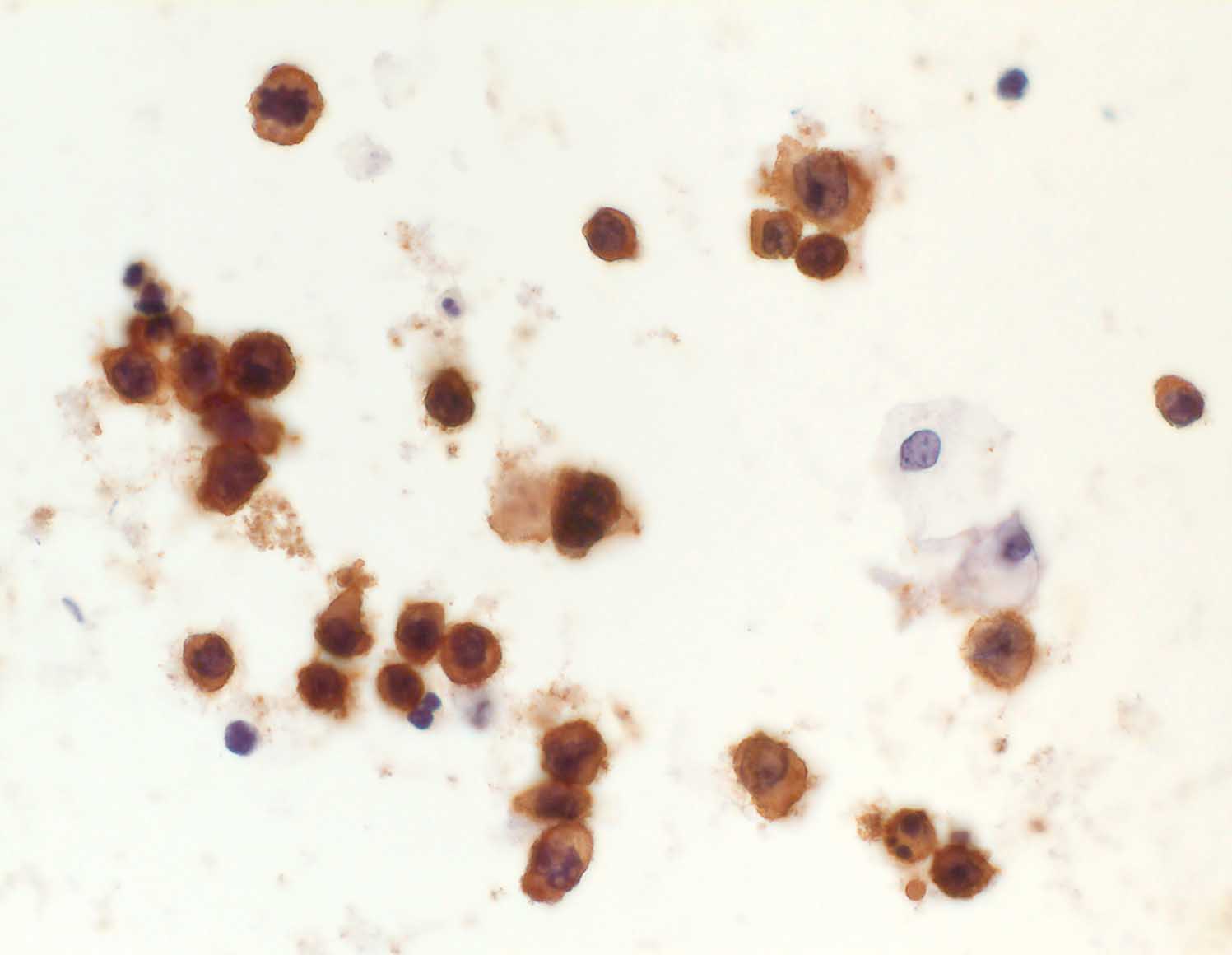
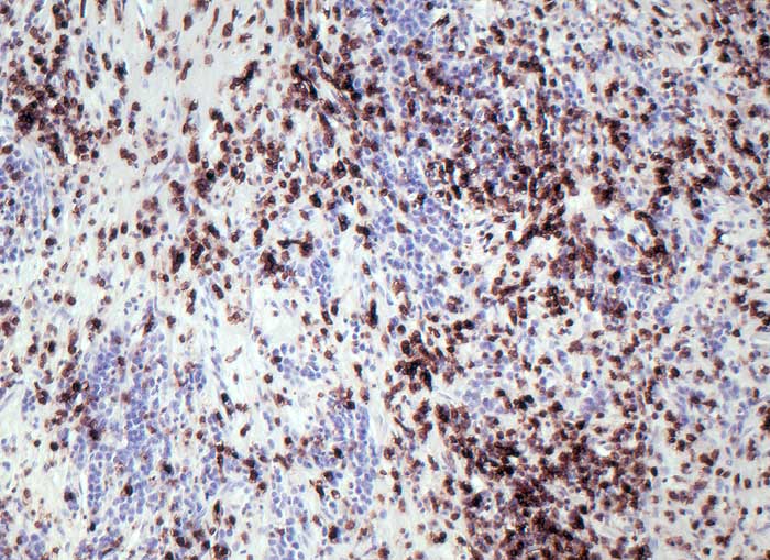
CD45 (leucocyte common antigen, LCA)
Anfärbung:
Zellmembran
Reaktion im Normalgewebe:
Fast alle haematolymphoiden Zellen sind positiv: T-Lymphozyten, B-Lymphozyten, Granulozyten, Monozyten, Makrophagen.
Reaktion in Neoplasien:
93-99% aller Lymphome sind positiv. Einzelne high grade Lymphome sind CD45 negativ und CD20 positiv.
CD45 ist ausserdem in folgenden Tumoren häufig positiv:
  • Anaplastisch grosszellige Lymphome 50-87%
  • Hodgkin Lymphom, Lymphozyten prädominanter Subtyp
  • Plasmozytom/multiples Myelom (<50%)
  • T-Zell ALL
  • B-Zell ALL (80%)
  • Haarzellleukämie
  • Langerhanszellhistiozytose
  • Selten positiv in Rhabdomyosarkomen
Diagnostischer Nutzen:
Abgrenzung von Lymphomen von anderen kleinen blauen und rundzelligen Tumoren Unterscheidung von kleinzelligen Karzinomen und Lymphomen
Klinik
-
Normalbefund
Morphologie
Makroskopie
Virtuelles Präparat
Befund
Pathologischer Befund
Normalbefund
Literatur
Datum
Ersteintrag: 01.04.2003
Update: 01.04.2003