PathoPic – image database / PathoPic ID 6303 - diffuses grosszelliges B-Zelllymphom

de
Diagnose
diffuses grosszelliges B-Zelllymphom
Diagnose Gruppe
maligner Tumor
Topographie
Urin
Topographie Gruppe
Niere, Harnwege
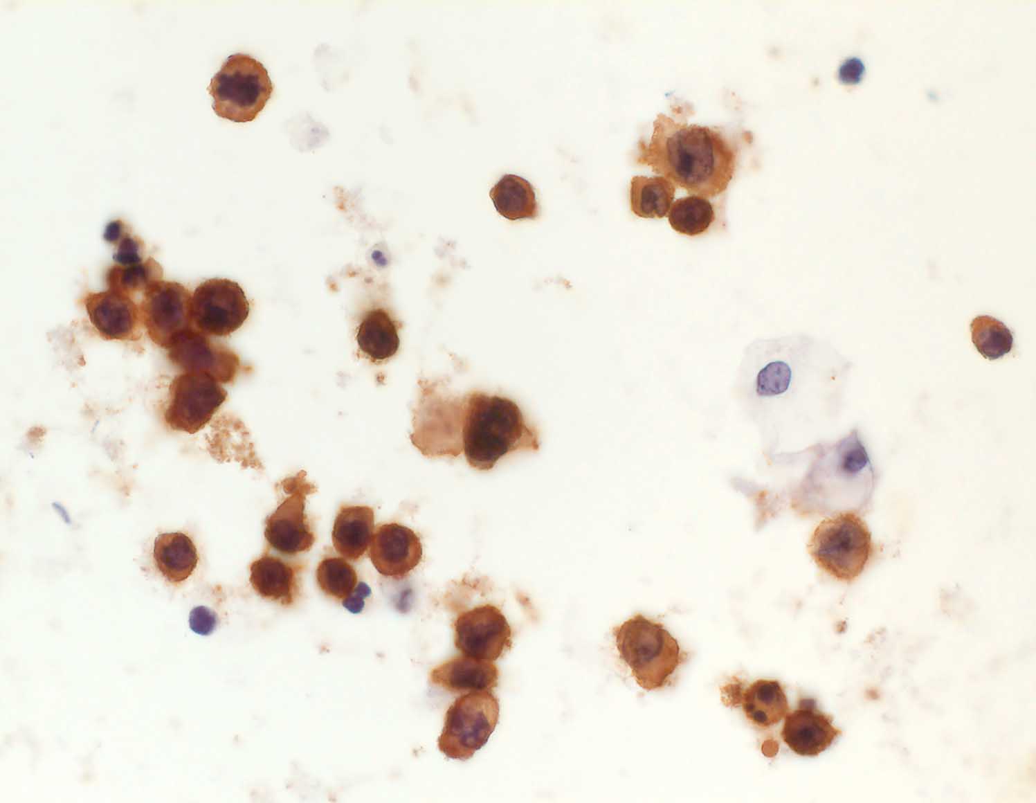
Beschreibung
Urin: Die atypischen Zellen sind positiv für den Leukozytenmarker CD45.
Zusatzbefund
Sämtliche Tumorzellen sind stark positiv für den Leukozytenmarker LCA, aber negativ für die Epithelmarker Ber-EP4 und Zytokeratin 20. Somit handelt es sich um Zellen eines grosszelligen Non-Hodgkin-Lymphoms, und nicht um Karzinomzellen.
Klinik
Nieren-Tumor rechts. DD: Urothel-Ca.
Bilder Typ
Zytologie
Immunhistochemie
CD45 (LCA)
Vergrösserung
400
Alter
66
Geschlecht
unbekannt
Datum
Ersteintrag: 31.01.2003
Update: 28.03.2003