PathoPic – image database / PathoPic ID 6469 - Lymphoepitheliom-artiges Magenkarzinom (medulläres Karzinom)

de
Diagnose
Lymphoepitheliom-artiges Magenkarzinom (medulläres Karzinom)
Diagnose Gruppe
maligner Tumor
Topographie
Magen
Topographie Gruppe
Oesophagus, Magen
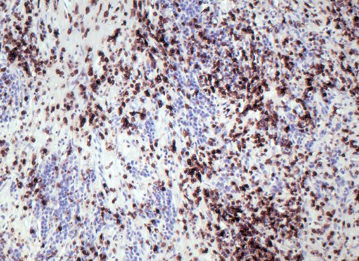
Beschreibung
Die grösseren Tumorzellen reagieren nicht mit dem panleukozytären Marker CD45.
Klinik
Magenstumpfkarzinom 20 Jahre nach Billroth II-Resektion wegen Ulcus duodeni.
Kommentar
Die Prognose bei fortgeschrittenen Tumoren ist wesentlich besser beim medullären Karzinom als bei konventionellen Adenokarzinomsubtypen des Magens.
Bilder Typ
Histologie
Immunhistochemie
CD45 (LCA)
Vergrösserung
320
Alter
77
Geschlecht
männlich
Datum
Ersteintrag: 24.02.2003
Update: 28.03.2003