l/ HMB-45

Diagnose
HMB-45
Diagnose Gruppe
Differenzialdiagnose
Topographie Gruppe
Topographie
Einleitung
HMB-45
Anfärbung:
Zytoplasma
Reaktion im Normalgewebe:
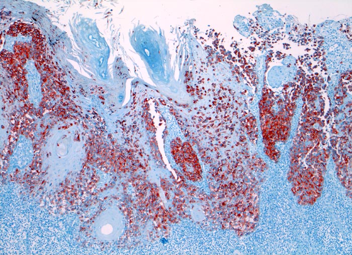
Aktivierte Melanozyten und Naevi, Mammaepithel und Schweissdrüsenepithel.
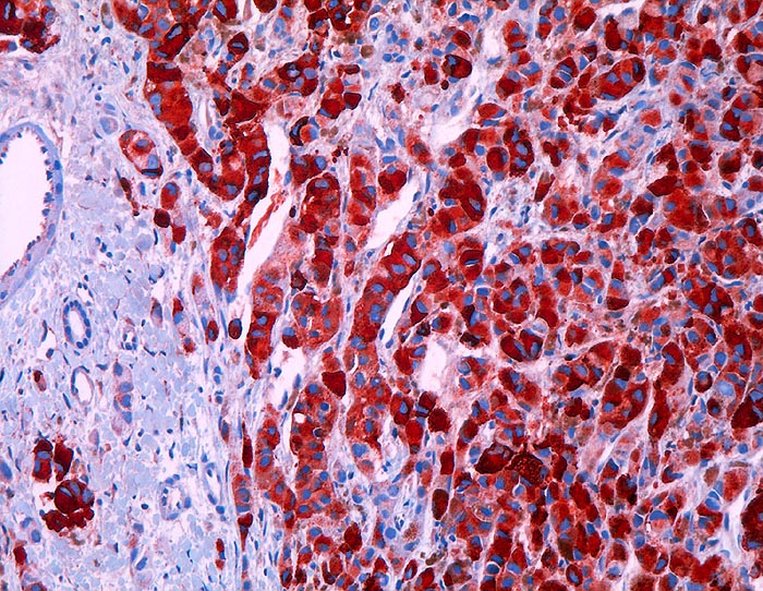
Reaktion in Neoplasien:
HMB-45 wird in diversen melanozytären und nicht melanozytären Tumoren exprimiert:
  • Naevi (meist nur oberflächlich)
  • Malignes Melanom (90% Primärtumoren, 80% Rezidive und Metastasen, desmoplastische Variante meist negativ)
  • Angiomyolipom
  • Lymphangioleiomyomatose
  • Klarzelltumor der Lunge (Sugar tumor)
  • Einzelne Mammakarzinome, Speicheldrüsentumoren, Karzinome, multiple Myelome
Diagnostischer Nutzen:
Identifikation der verschiedenen HMB-45 positiven Tumoren.
Spezifität für maligne Melanome höher als S-100, aber niedrigere Sensitivität.
Klinik
-
Normalbefund
Morphologie
Makroskopie
Virtuelles Präparat
Befund
Pathologischer Befund
Normalbefund
Literatur
Datum
Ersteintrag: 13.04.2003
Update: 13.04.2003