PathoPic – image database / PathoPic ID 1326 - Malignes Melanom : Lebermetastase

de
Diagnose
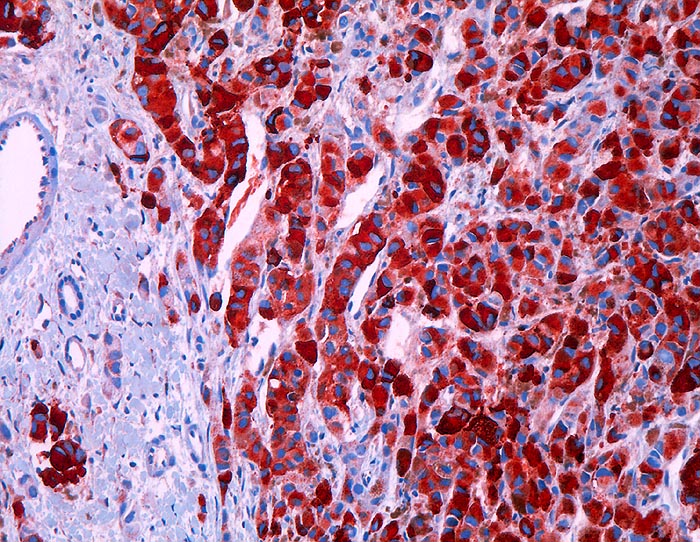
Malignes Melanom : Lebermetastase
Diagnose Gruppe
maligner Tumor
Topographie
Leber
Topographie Gruppe
Leber, Gallenwege, Pankreas
Beschreibung
Starke zytoplasmatische Positivität der Tumorzellen für HMB-45.
Klinik
V.a. hepatozelluläres Karzinom.
Bilder Typ
Histologie
Immunhistochemie
HMB-45
Alter
69
Geschlecht
unbekannt
Datum
Ersteintrag: 05.12.2001