PathoPic – image database / PathoPic ID 3309 - amelanotisches akral lentiginöses Melanom

de
Diagnose
amelanotisches akral lentiginöses Melanom
Diagnose Gruppe
maligner Tumor
Topographie
Haut, Hand palmar, Finger
Topographie Gruppe
Haut
Beschreibung
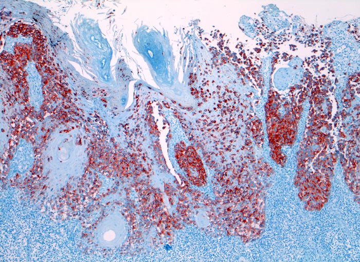
Die Melanomzellen färben sich an mit dem Melanommarker HMB-45. Dabei wird die Ausdehung der Tumorzellinfiltrate deutlich. An der Oberfläche sind die Zellen diskohäsiv.
Zusatzbefund
Makroskopisch ulzerierte Läsion mit hellbraunem Grund.
Klinik
Verdacht auf Plattenepithelkarzinom
Bilder Typ
Histologie
Immunhistochemie
HMB-45
Alter
80
Geschlecht
unbekannt
Datum
Ersteintrag: 25.05.2002
Update: 30.06.2003