p/ Muzinöses Mammakarzinom

Diagnose
Muzinöses Mammakarzinom
Diagnose Gruppe
maligner Tumor
Differenzialdiagnose
Topographie Gruppe
Mamma
Topographie
Mamma
Einleitung
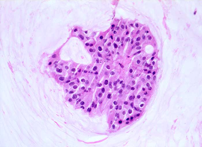
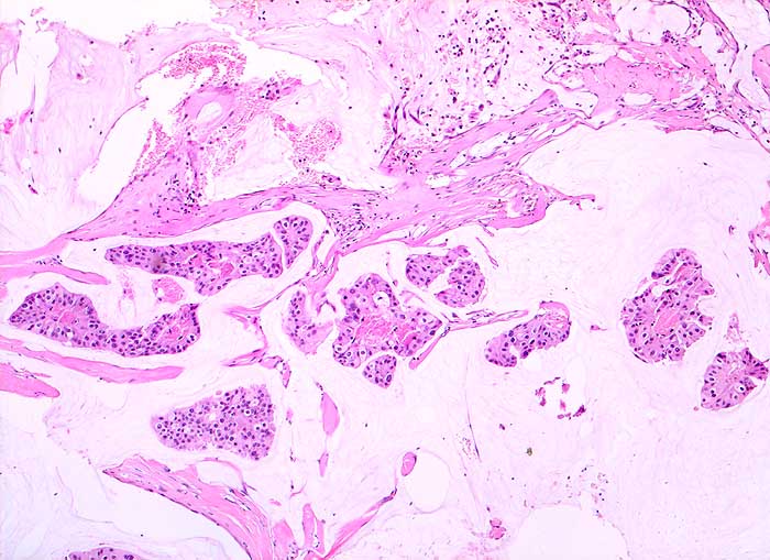
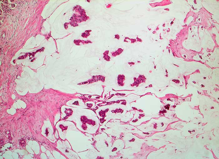
Homogene oder schlierenförmige extrazelluläre Schleimmassen mit Inseln von Tumorzellen mit geringen Kernatypien sind pathognomonisch für das muzinöse Mammakarzinom. Die Zellzahl ist meist nicht sehr hoch. Die Zellen liegen einzeln oder in kleinen kugeligen oder pseudopapillären Verbänden. Der Schleim erscheint in der Pap Färbung blau-grau bis rötlich. Siegelringkarzinome zeigen grössere intrazytoplasmatische Schleimvakuolen.
Unten werden zwei Beispiele von typischen muzinösen Karzinomen gezeigt.
Klinik
-
Normalbefund
Morphologie
Makroskopie
Virtuelles Präparat
Befund
Pathologischer Befund
Normalbefund
Literatur
Datum
Ersteintrag: 01.04.2003
Update: 01.04.2003