Pathopic
HiPaKu
ZyPaKu
PathoBasic
PathoBasic Cytology
Quizzes
Projektinfos
PathoPic - Projekt- und Copyright-Info
About
Pathopic
HiPaKu
ZyPaKu
PathoBasic
PathoBasic Cytology
Quizzes
PathoPic – image database
/
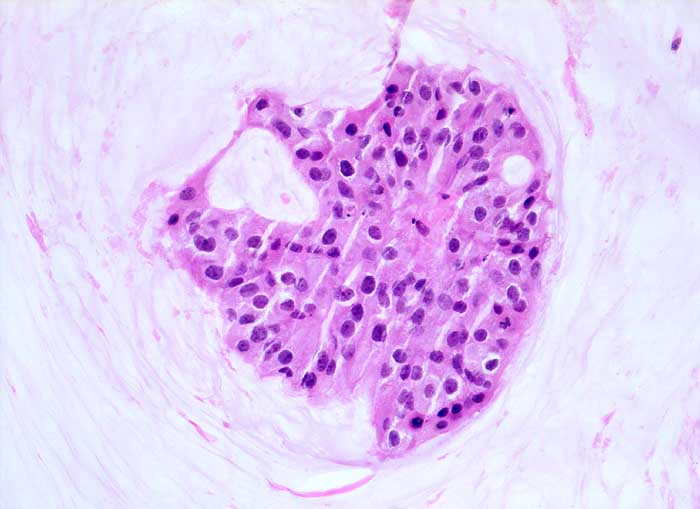
PathoPic ID 5666 - hoch differenziertes muzinöses Mammakarzinom
de
Diagnose
hoch differenziertes muzinöses Mammakarzinom
Diagnose Gruppe
maligner Tumor
Topographie
Mamma
Topographie Gruppe
Mamma
Beschreibung
Ein monomorpher Tumorzellverband mit geringen Atypien liegt inselförmig eingebettet in einem Schleimsee.
Bilder Typ
Histologie
Vergrösserung
200
Alter
86
Geschlecht
unbekannt
Datum
Ersteintrag: 20.11.2002
Update: 14.02.2003
CPS
·
©
2024 Institut für Pathologie Basel
/
Dr. med. Katharina Glatz-Krieger
.
·
v2.1