PathoPic – image database / PathoPic ID 5692 - muzinöses Mammakarzinom

de
Diagnose
muzinöses Mammakarzinom
Diagnose Gruppe
maligner Tumor
Topographie
Mamma
Topographie Gruppe
Mamma
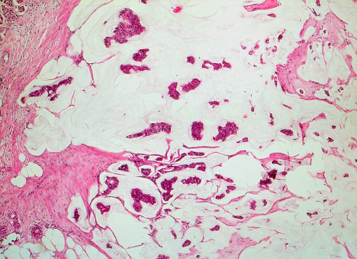
Beschreibung
Schleimseen mit inselförmigen Tumorzellverbänden umgeben von Bindegewebssepten.
Klinik
Karzinomrezidiv parasternal links nach Mastektomie
Kommentar
Zytologische Diagnose: muzinöses Karzinom
Bilder Typ
Histologie
Vergrösserung
50
Alter
37
Geschlecht
unbekannt
Datum
Ersteintrag: 25.11.2002
Update: 17.02.2003