p/ Duktales Carcinoma in situ der Mamma

Diagnose
Duktales Carcinoma in situ der Mamma
Diagnose Gruppe
maligner Tumor
Differenzialdiagnose
Topographie Gruppe
Mamma
Topographie
Mamma
Einleitung
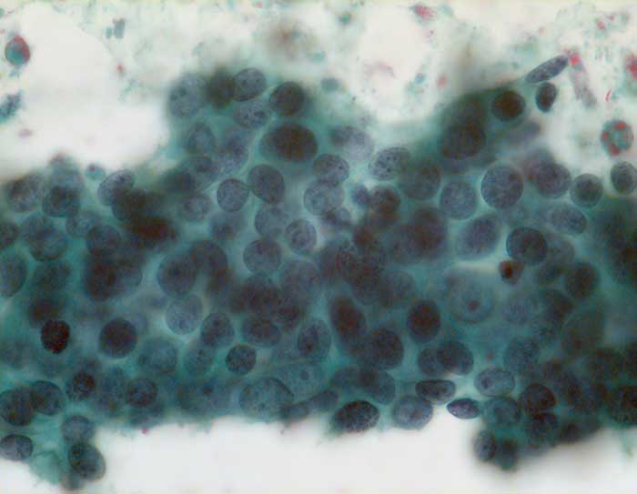
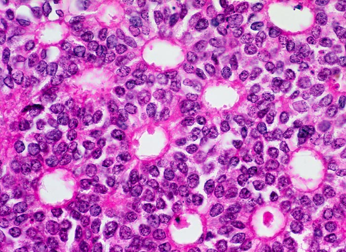
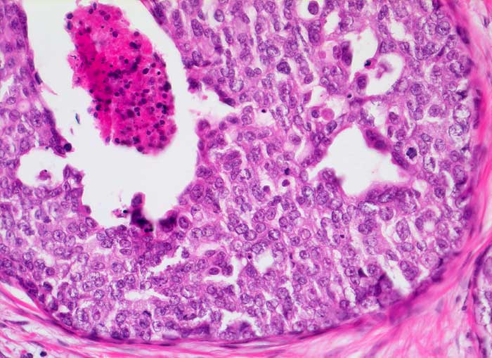
Das duktale Carcinoma in situ (DCIS) wird unterteilt in DCIS mit oder ohne Komedonekrosen. Das DCIS mit Komedonekrosen ist charakterisiert durch offensichtlich maligne Zellen auf nekrotischem Hintergrund. Zytologisch hochdifferenzierte DCIS ohne Komedonekrosen sind monomorpher.
Die individuellen Zellen eines duktalen Carcinoma in situ unterscheiden sich nicht von den Zellen eines invasiven dutkalen Karzinoms. DCIS sind im Gegensatz zum invasiven Karzinom gekennzeichnet durch einen stärkeren Zellzusammenhalt und grössere Uniformität der Verbände mit regelmässigen Abständen der Zellen und geringerem Zellcrowding. Makronukleolen sprechen für ein invasives Karzinom. Kleine Nukleolen hingegen können auch bei benignen Veränderungen auftreten.
Das DCIS zeigt im Gegensatz zur atypischen Hyperplasie eher diskohäsive Verbände und Einzelzellen. Bei der atypischen Hyperplasie sind gutartige Zellelemente beigemischt und die Verbände können irreguläre oder schlitzartige Lumina enthalten.
Unten werden Beispiele von einem zytologisch hochdifferenzierten und einem zytologsich wenig differenzierten DCIS mit Komedonekrosen gezeigt.
Klinik
-
Normalbefund
Morphologie
Makroskopie
Virtuelles Präparat
Befund
Pathologischer Befund
Normalbefund
Literatur
Datum
Ersteintrag: 13.04.2003
Update: 13.04.2003