PathoPic – image database / PathoPic ID 5184 - Duktales carcinoma in situ, non high grade

de
Diagnose
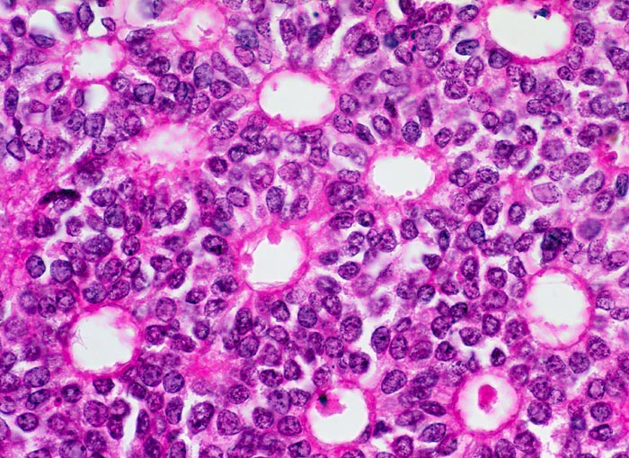
Duktales carcinoma in situ, non high grade
Diagnose Gruppe
Präneoplasie/ Atypie/ Dignität?
Topographie
Mamma
Topographie Gruppe
Mamma
Beschreibung
Monormorphe Tumorzellen mit runden hyperchromatischen Kernen bilden kribriforme Strukturen mit wie ausgestanzt wirkenden Löchern.
Zusatzbefund
Invasiv duktales Mammakarzinom
Bilder Typ
Histologie
Vergrösserung
400
Alter
52
Geschlecht
unbekannt
Datum
Ersteintrag: 23.07.2002
Update: 24.02.2005