PathoPic – image database / PathoPic ID 5589 - Duktales Carcinoma in situ

de
Diagnose
Duktales Carcinoma in situ
Diagnose Gruppe
Präneoplasie/ Atypie/ Dignität?
Topographie
Mamma
Topographie Gruppe
Mamma
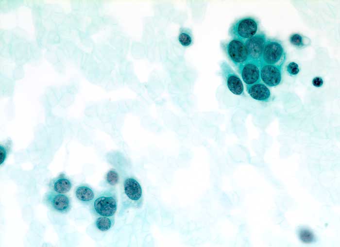
Beschreibung
Feinnadelpunktion Mamma: Kleine Zellverbände. Die atypischen Zellen erscheinen monomorph und wenig grösser als normale Mammaepithelien.
Klinik
Sonographisch wachsender Befund unklarer Dignität im oberen äusseren Quadranten rechts.
Kommentar
Zytologische Diagnose: Zahlreiche Karzinomzellen. Kommentar: Der zytologische Befund, insbesondere die Monomorphie der Tumorzellen passt gut zu einem duktalen Carcinoma in situ.
Bilder Typ
Zytologie
Vergrösserung
500
Alter
55
Geschlecht
unbekannt
Datum
Ersteintrag: 25.12.2002
Update: 24.02.2005