p/ Entzündlich veränderte Epidermoidzyste

Diagnose
Entzündlich veränderte Epidermoidzyste
Diagnose Gruppe
Entzündung / Reparatur
Differenzialdiagnose
Topographie Gruppe
Haut
Topographie
Haut, Hals
Einleitung
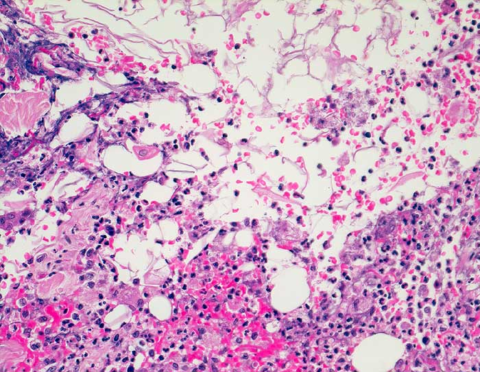
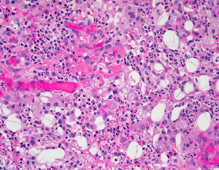
Epidermal ausgekleidete Zysten (Atherome) werden oft punktiert. Pathognomonisch sind dichte Zusammenballungen von kernlosen gelb gefärbten Hornschuppen. Nach einer Zystenruptur ist der Hintergrund detritisch und enthält wie bei einem Abszess zahlreiche neutrophile Granulozyten und Schaumzellen. Die Hornschuppen werden oft von Fremdkörperriesenzellen und Histiozyten umlagert. Nekrotische Lymphknotenmetastasen von hochdifferenzierten Plattenepithelkarzinomen können ähnlich aussehen. Die Plattenepithelzellen des Karzinoms sind aber oft bizarr geformt und weisen atypische Kerne auf.
Klinik
-
Normalbefund
Morphologie
Makroskopie
Virtuelles Präparat
Befund
Pathologischer Befund
Normalbefund
Literatur
Datum
Ersteintrag: 13.04.2003
Update: 13.04.2003