PathoPic – image database / PathoPic ID 5555 - Rupturierte Epidermoidzyste

de
Diagnose
Rupturierte Epidermoidzyste
Diagnose Gruppe
benigner Tumor
Topographie
Haut, Rumpf
Topographie Gruppe
Haut
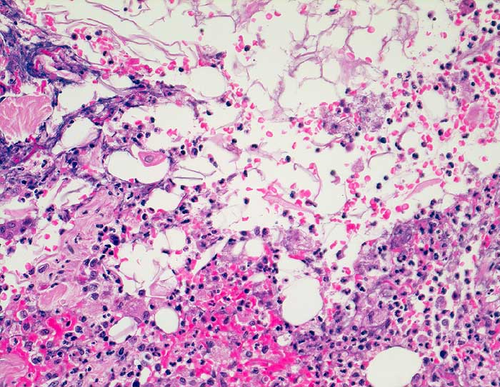
Beschreibung
Die Zystenwand ist vollständig entzündlich zerstört. Das Entzündungsinfiltrat besteht aus Granulozyten und Histiozyten durchmischt mit Blut. In der oberen Bildhälfte sind zahlreiche Hornlamellen erkennbar.
Klinik
Grosses, seit 5 Jahren bestehendes, entzündlich verändertes Atherom am Rücken
Bilder Typ
Histologie
Vergrösserung
200
Alter
74
Geschlecht
männlich
Datum
Ersteintrag: 23.12.2002
Update: 11.02.2003