Pathopic
HiPaKu
ZyPaKu
PathoBasic
PathoBasic Cytology
Quizzes
Projektinfos
PathoPic - Projekt- und Copyright-Info
About
Pathopic
HiPaKu
ZyPaKu
PathoBasic
PathoBasic Cytology
Quizzes
PathoPic – image database
/
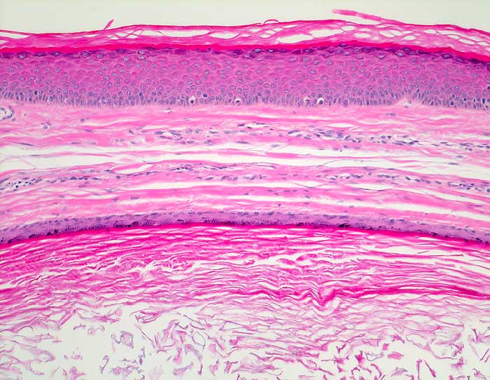
PathoPic ID 5553 - Epidermoidzyste
de
Diagnose
Epidermoidzyste
Diagnose Gruppe
benigner Tumor
Topographie
Haut
Topographie Gruppe
Haut
Beschreibung
Intradermale Zyste ausgekleidet von einem flachen verhornenden Plattenepithel. Das Zystenlumen ist gefüllt mit Hornlamellen.
Bilder Typ
Histologie
Vergrösserung
100
Alter
20
Geschlecht
männlich
Datum
Ersteintrag: 23.12.2002
Update: 11.02.2003
CPS
·
©
2024 Institut für Pathologie Basel
/
Dr. med. Katharina Glatz-Krieger
.
·
v2.1