p/ Adenoidzystisches Karzinom der Mamma

Diagnose
Adenoidzystisches Karzinom der Mamma
Diagnose Gruppe
maligner Tumor
Differenzialdiagnose
Topographie Gruppe
Mamma
Topographie
Mamma
Einleitung
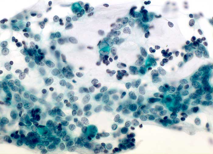
Adenoidzystische Karzinome machen lediglich 1% aller Mammakarzinome aus. Die Morphologie ist identisch mit dem gleichnamigen Tumor der Speicheldrüsen. Die Zellen des adenoidzystischen Karzinoms bilden kohäsive Verbände und Drüsen oder mikrozystische Strukturen. Die Tumorzellen sind klein und monomorph, die Kern-Zytoplasmarelation ist hoch. Die Kerne sind dunkel, rund bis oval oder angulär und enthalten bisweilen einen kleinen Nukleolus. Azelluläre hyaline Körperchen aus mucoidem Material, welche die Hohlräume der intakt aspirierten kribriformen Strukturen ausfüllen, sind besonders typisch. Das mucoide Material kann auch verzweigte oder fingerartige abgerundete Strukturen ausbilden.
Klinik
-
Normalbefund
Morphologie
Makroskopie
Virtuelles Präparat
Befund
Pathologischer Befund
Normalbefund
Literatur
Datum
Ersteintrag: 13.04.2003
Update: 13.04.2003