PathoPic – image database / PathoPic ID 5655 - Adenoidzystisches Karzinom

de
Diagnose
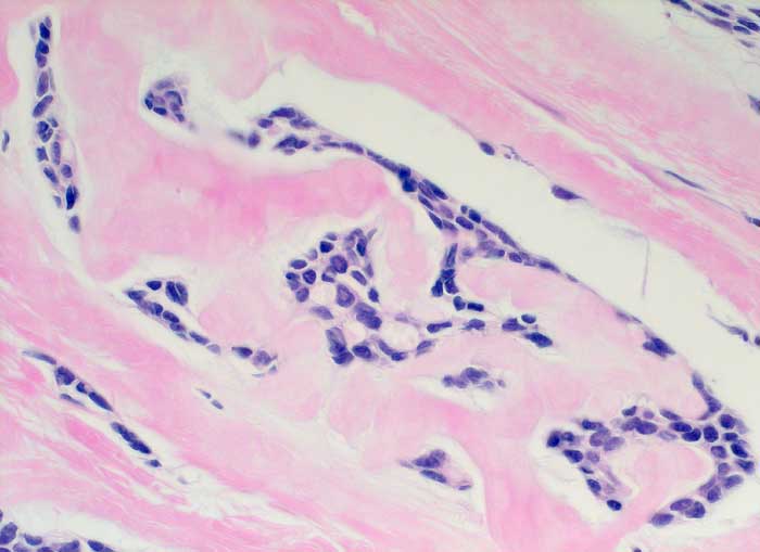
Adenoidzystisches Karzinom
Diagnose Gruppe
maligner Tumor
Topographie
Mamma
Topographie Gruppe
Mamma
Beschreibung
Dichtes amyloidartiges Stroma umschliesst residuelle zylindromatöse Knoten.
Klinik
V.a. Mammakarzinom
Kommentar
Adenoidzystische Karzinome kommen vor allem im Bereich der Speicheldrüsen vor, treten aber auch in anderen Organen auf. Sie machen weniger als 0.1% - 0.2% der Mammakarzinome aus.
Bilder Typ
Histologie
Vergrösserung
400
Alter
67
Geschlecht
unbekannt
Datum
Ersteintrag: 13.11.2002
Update: 14.02.2003