PathoPic – image database / PathoPic ID 5656 - Adenoidzystisches Karzinom

de
Diagnose
Adenoidzystisches Karzinom
Diagnose Gruppe
maligner Tumor
Topographie
Mamma
Topographie Gruppe
Mamma
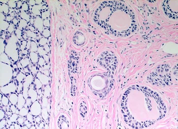
Beschreibung
Kribriforme Tumormasse. Die Hohlräume sind gefüllt mit mucoidem Material oder eosinophilem amorphem Material.
Klinik
V.a. Mammakarzinom
Kommentar
Adenoidzystische Karzinome kommen vor allem im Bereich der Speicheldrüsen vor, treten aber auch in anderen Organen auf. Sie machen weniger als 0.1% - 0.2% der Mammakarzinome aus.
Bilder Typ
Histologie
Vergrösserung
200
Alter
67
Geschlecht
unbekannt
Datum
Ersteintrag: 13.11.2002
Update: 14.02.2003