p/ Azinuszellkarzinom der Glandula Parotis

Diagnose
Azinuszellkarzinom der Glandula Parotis
Diagnose Gruppe
maligner Tumor
Differenzialdiagnose
Topographie Gruppe
Oesophagus, Magen
Topographie
Parotis
Einleitung
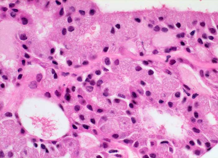
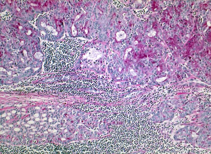
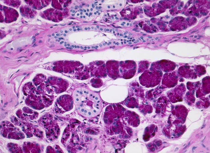
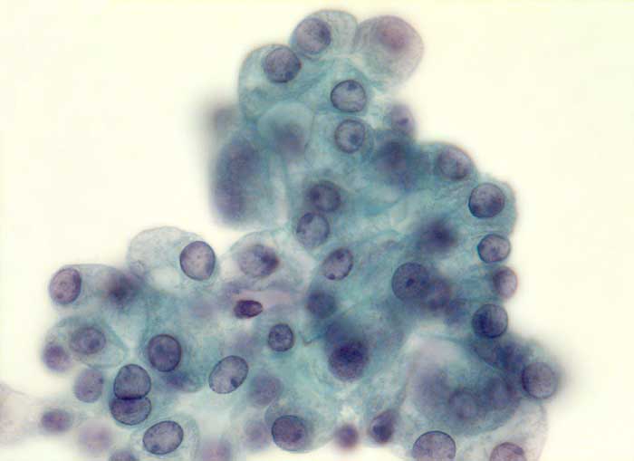
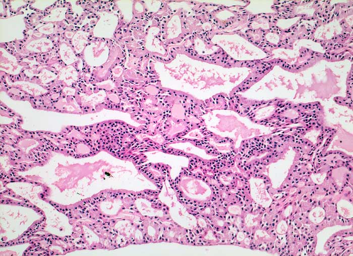
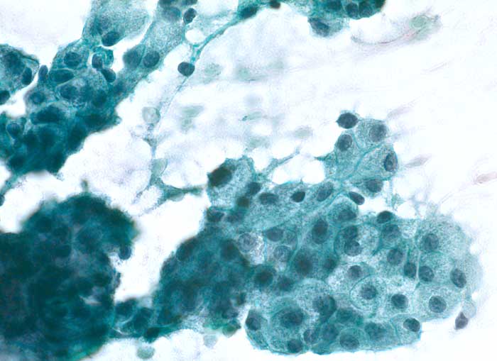
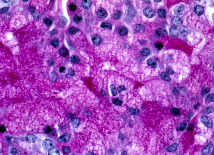
Die zytologische Diagnose des Azinuszellkarzinoms basiert auf dem Nachweis von Azinuszellen bei gleichzeitigem Fehlen von Gangstrukturen. Die Tumorzellen gleichen normalen serösen Azinuszellen. Zytoplasma ist reichlich vorhanden und variiert von schaumig bis grobgranulär. Degranulierte Zellen erscheinen schaumig, Zellen mit dichtgepackten Granula gleichen Onkozyten. Die Granula der Onkozyten sind aber feiner. Die Tumorzellkerne sind meist ziemlich wenig atypisch und monomorph. Das Chromatin variiert von fein bis mittelgrob. Intranukleäre Zytoplasmaeinschlüsse kommen vor. Die oft vorhandenen zahlreichen Nacktkerne müssen von ebenfalls oft vorhandenen Lymphozyten abgegrenzt werden. Die meist hoch differenzierten Tumoren können mit normaler Speicheldrüse verwechselt werden.
Klinik
-
Normalbefund
Morphologie
Makroskopie
Virtuelles Präparat
Befund
Pathologischer Befund
Normalbefund
Literatur
Datum
Ersteintrag: 01.04.2003
Update: 01.04.2003