PathoPic – image database / PathoPic ID 5445 - Azinuszellkarzinom

de
Diagnose
Azinuszellkarzinom
Diagnose Gruppe
maligner Tumor
Topographie
Parotis
Topographie Gruppe
Kopf & Hals, Sinnesorgane
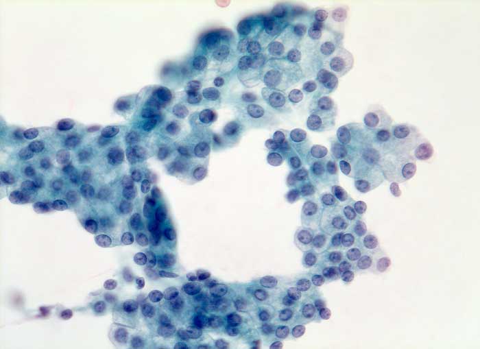
Beschreibung
Feinnadelpunktion Parotis: kubische bis rundliche Zellen mit gleichförmigen runden, fein strukturierten exzentrisch gelagerten Kernen mit feinen Nukleolen. Zytoplasma breit, fein vakuolisiert. Teilweise bilden die Zellen azinusähnliche Formationen.
Zusatzbefund
-
Bilder Typ
Zytologie
Vergrösserung
320
Alter
57
Geschlecht
unbekannt
Datum
Ersteintrag: 14.11.2002
Update: 21.12.2007