PathoPic – image database / PathoPic ID 5368 - Azinuszellkarzinom der Parotis

de
Diagnose
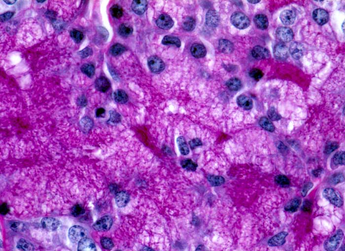
Azinuszellkarzinom der Parotis
Diagnose Gruppe
maligner Tumor
Topographie
Parotis
Topographie Gruppe
Kopf & Hals, Sinnesorgane
Beschreibung
Azinär differenzierte Tumorzellen mit reichlich wolkigem retikulärem Diastase-PAS positivem Zytoplasma und runden exzentrisch lokalisierten Kernen mit vergröberter Chromatinstruktur.
Zusatzbefund
Tumorzellen fokal Amylase und Diastase-PAS positiv
Kommentar
Azinuszellkarzinome sind nach den Mucoepidermoidkarzinomen und den nicht näher spezifizierten Adenokarzinomen die häufigsten malignen Speicheldrüsentumoren und am häufigsten bilateral (3%). Azinär differenzierte Zellen können oft nur eine Minderheit ausmachen. Daneben gibt es auch kubische Zellen vom Streifstücktyp oder Zellen eines Adenokarzinoms ohne spezielle Differenzierung. Azinuszellkarzinome können viele Wachstumsmuster zeigen: mikrozystisch, solide, follikulär, papillär zystisch, glandulär. Typisch, aber nicht spezifisch ist ein ausgeprägtes lymphoides Stroma (keine echten Lymphknoten), welches zur richtigen Diagnose führen kann. Die Azinuszellen enthalten Diastase PAS positives Material und sind immunhistochemisch positiv für Amylase (oft nur herdförmig).
Bilder Typ
Histologie
Vergrösserung
630
Alter
76
Geschlecht
unbekannt
Datum
Ersteintrag: 20.11.2002
Update: 21.12.2007