p/ Akute Sialadenitis

Diagnose
Akute Sialadenitis
Diagnose Gruppe
Entzündung / Reparatur
Differenzialdiagnose
Topographie Gruppe
Oesophagus, Magen
Topographie
Parotis
Einleitung
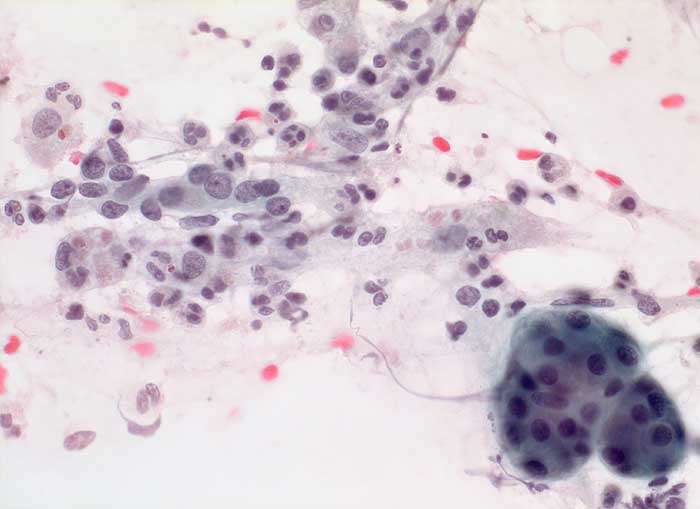
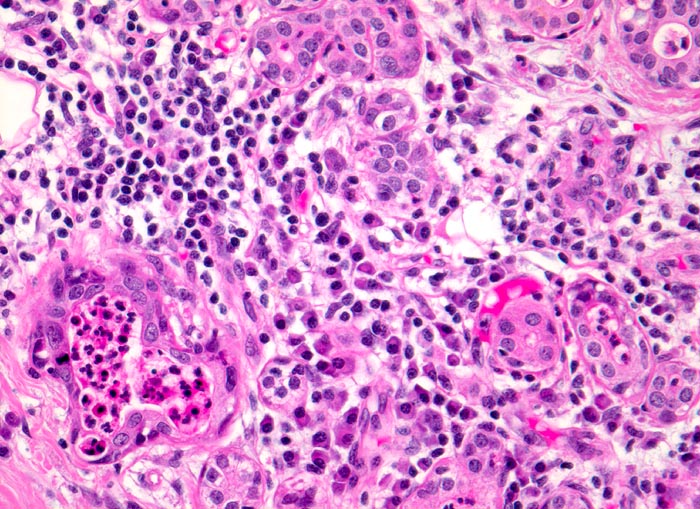
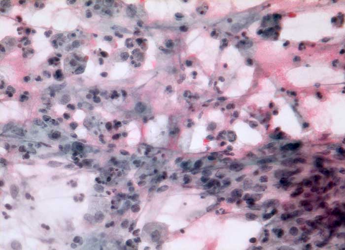
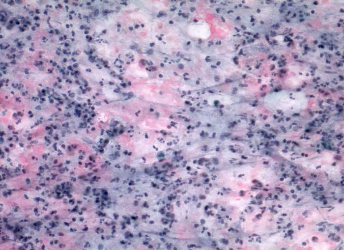
Akute bakterielle Sialadenitiden werden oft verursacht durch eine Gangobstruktion (z.B. Steine), können aber auch bei schlechter Mundhygiene oder bei Immunsupression vorkommen. Die Feinnadelpunktion kann durch eine Druckverminderung zu einer Schmerzreduktion führen. Das Punktat gleicht einem Abszess mit neutrophilen Granulozyten, Fibrin und Nekrosen. Gelegentlich sind Erreger nachweisbar. Zu einem späteren Zeitpunkt kommen Lymphozyten, Plasmazellen, Makrophagen, Granulationsgewebe und Epithelien mit regenerativen Veränderung/Atypien zur Darstellung.
Klinik
-
Normalbefund
Morphologie
Makroskopie
Virtuelles Präparat
Befund
Pathologischer Befund
Normalbefund
Literatur
Datum
Ersteintrag: 01.04.2003
Update: 01.04.2003