PathoPic – image database / PathoPic ID 5440 - akute Sialadenitis

de
Diagnose
akute Sialadenitis
Diagnose Gruppe
Entzündung / Reparatur
Topographie
Parotis
Topographie Gruppe
Kopf & Hals, Sinnesorgane
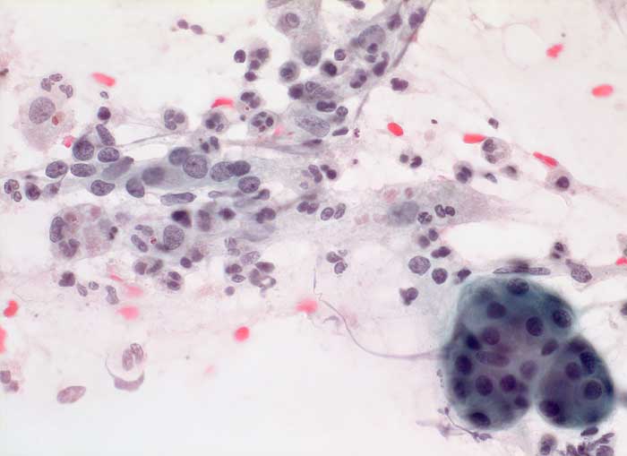
Beschreibung
Feinnadelpunktion Parotis: massenhaft neutrophile Granulozyten und einzelne unauffällige Azini
Zusatzbefund
-
Klinik
Akute Entzündung der Speicheldrüse DD: maligner Tumor
Kommentar
Keine histologische Untersuchung notwendig
Bilder Typ
Zytologie
Vergrösserung
400
Alter
88
Geschlecht
unbekannt
Datum
Ersteintrag: 24.11.2002
Update: 21.12.2007