PathoPic – image database / PathoPic ID 5441 - akute Sialadenitis

de
Diagnose
akute Sialadenitis
Diagnose Gruppe
Entzündung / Reparatur
Topographie
Parotis
Topographie Gruppe
Kopf & Hals, Sinnesorgane
Beschreibung
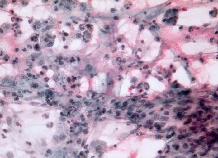
Feinnadelpunktion Parotis: Amorphes eiweissartiges Material, massenhaft neutrophile Granulozyten und Makrophagen.
Zusatzbefund
-
Klinik
Akute Entzündung der Speicheldrüse DD: maligner Tumor
Kommentar
Keine histologische Untersuchung notwendig
Bilder Typ
Zytologie
Vergrösserung
320
Alter
88
Geschlecht
unbekannt
Datum
Ersteintrag: 24.11.2002
Update: 21.12.2007